
Czym bonding zębów różni się od wykonania na nich licówek? Czy radzimy wykonywać bonding jedynek pojedynczo? Po lekturze tego wpisu bonding nie będzie miał dla Państwa tajemnic...
Bonding to metoda odbudowy zębów polegająca na użyciu specjalnej żywicy kompozytowej, która aplikowana jest bezpośrednio na ząb przez lekarza , a następnie kształtowana i utwardzana światłem polimeryzującym aby odtworzyć pożądany kształt i kolor zęba.
Procedura ta jest szczególnie skuteczna w przypadku drobnych defektów, takich jak pęknięcia, przebarwienia, niewielkie ubytki czy przerwy między zębami, których nie ma potrzeby leczyć ortodontycznie, a wizualnie nam przeszkadzają.
W porównaniu do innych metod odbudowy zębów bonding jest najmniej inwazyjny.
Do wykonania zabiegu nie trzeba naruszać struktur szkliwa i jego naturalnej warstwy, a jedynie matowi się je i po odpowiednim przygotowaniu nakłada materiał i utwardza.



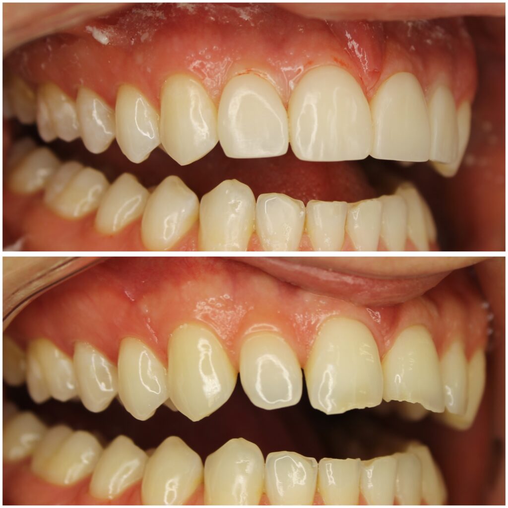
Przeprowadzenie procedury bondingu: lek. dent. Małgorzata Sajnok
Czym bonding różni się od licówek?
Wyróżniamy 2 rodzaje materiałów naklejanych na lico zęba: kompozyty i spieki porcelany.
Pierwsza metoda, nazywana bondingiem lub licówkami kompozytowymi polega na nałożeniu materiałów światłoutwardzalnych na ząb i wykonuje ją lekarz dentysta na jednej wizycie.
Druga metoda, licówki porcelanowe wymagają co najmniej dwóch- trzech wizyt ponieważ tworzy się je we współpracy z technikiem dentystycznym.
Licówki wykonane są z bardzo trwałej porcelany i montowane na przednią część zęba za pomocą specjalnych materiałów wykazujących wysoką adhezję.
Są droższe (2600 zł / 800 zł), ale trwalsze (10-15 lat / 5 lat) od warstwy kompozytu używanego przy bondingu, a także potrafią korygować większe wady zębowe, ale trzeba do nich oszlifować (zwykle i tak już zniszczone) szkliwo zębów.
Zabieg bondingu jedynek zwykle rozpoczyna się od konsultacji z lekarzem dentystą, który ocenia stan zębów i omawia oczekiwane rezultaty z Pacjentem.
W przypadku bondingu jedynek szczególnie ważne jest ustalenie czy zęby są ustawione prawidłowo w zgryzie - jeśli siły żucia rozkładają się nierównomiernie Pacjent zostanie skierowany najpierw na leczenie ortodontyczne.
Bonding na krzywe zęby może skończyć się bowiem ukruszeniami i uszkodzeniami nowej warstwy szkliwa ponieważ kompozyt, z którego jest wykonywany będzie ulegał zbyt dużym naprężeniom.
Po konsultacji zostaje wyznaczona wizyta zabiegowa rozpoczynająca się od zmatowienia powierzchni, na których będzie wykonywany bonding (używa się do tego piaskarki abrazyjnej).
Następnie, po dokładnym wypłukaniu resztek piasku, wytrawia się szkliwo i tak przygotowaną powierzchnię zęba pokrywa się bondem, który ma zapewnić jak najlepszą adhezję między szkliwem a materiałem kompozytowym.
Po naświetleniu bondu lampą polimeryzującą nakłada się kompozyty światłoutwardzalne i formuje wstępny kształt i strukturę zęba jaki chcemy uzyskać i ponownie korzysta z utwardzania kompozytu światłem.
Finalnym punktem całego zabiegu jest nadanie kształtu oraz wypolerowanie wszelkich nierówności specjalnymi gumkami by uzyskać gładką i efektowną taflę na zębach.
Bonding trwa ok 2-3h, w zależności od tego ile zębów będzie poddanych zabiegowi.


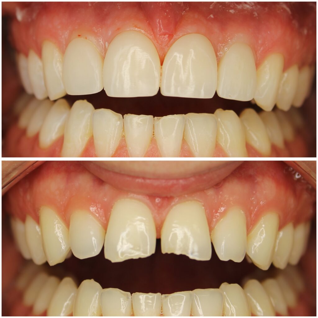
Przeprowadzenie procedury bondingu: lek. dent. Małgorzata Sajnok
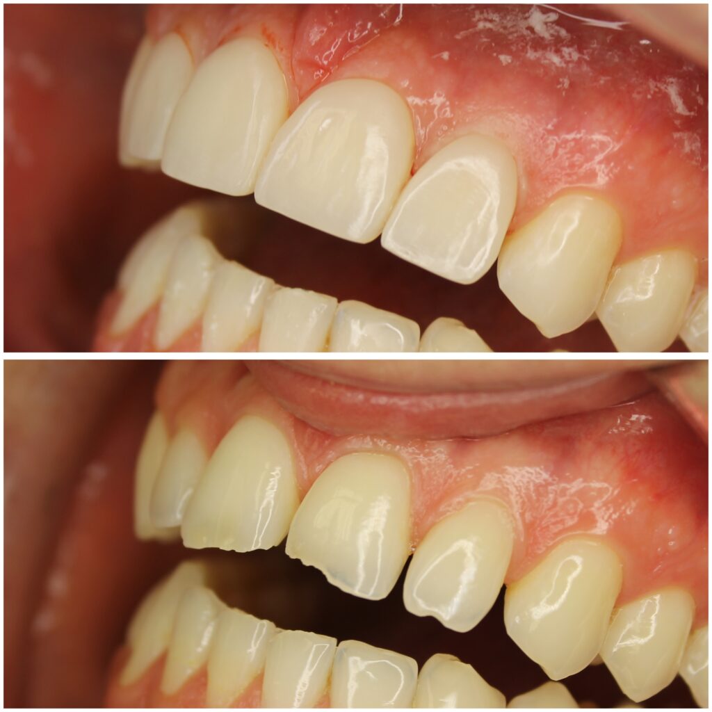
Bonding kompozytowy połączony z wybielaniem pozwolił w obu przypadkach na szybką, bezpieczną i komfortową metamorfozę.
Bonding jedynek na zdjęciu po prawej stronie pozwolił nie tylko pokryć je warstwą białego, gładkiego szkliwa ale także skorygował ich kształt wyrównując je i wydłużając.
Na bonding jedynek warto zdecydować się wtedy, kiedy potrzebne są lekkie korekty uśmiechu typu zmiana koloru czy delikatna modyfikacja kształtu zębów lub zamknięcie diastemy.
Najczęściej na ten zabieg decydują się Pacjenci, którzy widzą delikatne przebarwienia i rysy w szkliwie, które przeszkadzają im wizualnie i powodują dyskomfort, ponieważ wygląd naszych zębów ma bardzo duże znaczenie dla naszego samopoczucia. Wpływa także na szerokość uśmiechu, gdyż osoby niekrępujące się swoich zębów częściej i szerzej się uśmiechają, przez co stają się bardziej atrakcyjne dla otoczenia.
Dzięki bondingowi można szybko i bezpiecznie skorygować drobne wady zębów przednich takie jak pęknięcia, przebarwienia, niewielkie przerwy między zębami czy lekkie nieprawidłowości w kształcie.
.
Z bondingu mogą skorzystać osoby, które chcą zmienić swój uśmiech, ale nie w sposób radykalny.
Nie znosząc bowiem zęba własnego dokładamy tylko materiału i następnie pracujemy już tylko na powierzchni stworzonej z kompozytu.
W zasadzie jedyne przeciwwskazania do zabiegu to próchnica i mocno zniszczone zęby oraz choroby przyzębia i zapalenie dziąseł oraz wady zgryzu.
Przed zabiegiem zęby powinny być wyczyszczone profesjonalnie w gabinecie i pozbawione kamienia jak i osadu, gdyż zalegająca płytka nazębna i kamień mogą zaburzyć wiązanie żywicy a co za tym idzie efekt może nie być tak trwały jak powinien. Wszelkie zmiany i plamy próchnicowe muszą zostać wyleczone przed nałożeniem żywicy kompozytowej.
Na bonding jedynek najlepiej zdecydować się po konsultacji z dentystą, który sprawdzi, czy „jedynki” nadają się do przeprowadzenia tej procedury i doradzi także ewentualne wybielanie wykonywane przed nią. Jedynki są bardzo istotne w uśmiechu, ale będąc na pierwszym planie muszą pasować odcieniem bieli do reszty zębów.
Często Pacjenci decydują się na bonding zabieg jako na rozwiązanie tymczasowe, odświeżane co 5 lat, ponieważ wolą mniejszą ingerencję w zęby niż w przypadku trwalszych licówek porcelanowych.
Jeśli stan zębów na to pozwala, to bonding jest dla nich idealnym rozwiązaniem, ponieważ w każdej chwili można go zdjąć i pod spodem są nadal zęby własne Pacjenta i wrócić do stanu sprzed zabiegu.
W przypadku koron czy licówek porcelanowych już do stanu przed leczeniem nie wrócimy. Po upływie kilku lat zawsze można wymienić kompozyt na nowy tak jak w przypadku zwykłej plomby.


Przeprowadzenie procedury bondingu: lek. dent. Małgorzata Sajnok
Z zabiegu bondingu może skorzystać każdy, kogo zęby potrzebują niewielkiej korekty oraz nadania kształtu czy niewielkiej zmiany koloru.
Jak w każdym przypadku zęby nie mogą być zarażone próchnicą ani dziąsła nie powinny być w stanie zapalnym. Innych przeciwwskazań do zabiegu bondingu jedynek nie ma.
Ząb z próchnicą da się odbudować bondingiem, jednak należy pamiętać, że aby tego dokonać dentysta najpierw musi oczyścić ząb używając do tego diamentowego wiertła, co spowoduje, że część zarażonego zęba zostanie usunięta, więc ząb będzie słabszy.
Z oczywistych względów ząb pod materiałem kompozytowym, który tworzy jego nową powierzchnie, powinien być w pełni zdrowy – inaczej pod spodem mogłaby rozwinąć się próchnica.
Bonding biomimetyczny to zaawansowana technika stomatologii estetycznej, która naśladuje naturalne tkanki zęba (szkliwo, zębinę) pod względem kształtu, koloru, przezierności i faktury, zapewniając bardzo naturalny wygląd i minimalną ingerencję w strukturę zęba, co pozwala na szybką korektę ukruszeń, przebarwień czy diastem.
Cena bondingu za jeden ząb wynosi 800 zł.
Cena bondingu za dwie jedynki wynosi 1600 zł.
W sytuacji, gdy poszukujemy estetyki na szerokość uśmiechu (czyli bonding od 3ki do 3ki, lub od 4ki do 4ki), koszt wyniesie odpowiednio 6x 8 = 4800 zł i 8 x 800= 6400 zł. Ze względu na to, że dla zachowania pełnej estetyki (a pacjenci spodziewają się idealnych efektów), zalecamy bonding na obu jedynkach jednocześnie, co generuje koszt 1600 zł.
Teoretycznie można wykonać bonding jednego zęba, jednak ponieważ i dr Sajnok i Pacjentowi zależy na wysokiej estetyce zaleca się zrobienie bondingu symetrycznie, po to by jednakowo symetrycznie rozpraszały one refleksy świetlne.
Najlepszy efekt uzyskuje się, gdy bonding wykonany jest na kilku zębach podczas jednej wizyty pokrywając jednocześnie jedynki, dwójki, trójki oraz czwórki, czyli zęby górne na szerokość uśmiechu.
Bonding jedynek wymaga codziennej pielęgnacji i regularnych wizyt kontrolnych - żaden stomatologiczny zabieg nie zwalnia Pacjenta od dbania o higienę jamy ustnej, a wręcz powinien jeszcze bardziej motywować do prostych, codziennych czynności, które ograniczą koszty w przyszłości.
Szczotkowanie zębów dwa, trzy razy dziennie przy użyciu szczoteczki z pastą do zębów, stosowanie płukanek oraz nitkowanie zębów to minimum, które każdy Pacjent musi wykonać każdego dnia.
Niezbędne są również regularne wizyty u stomatologa oraz profilaktyka wykonywana w gabinecie, które pozwolą cieszyć się pięknym uśmiechem dłużej.
Przy każdym spotkaniu zęby są pozbawia się osadu, a na kontrolach u lekarza zęby są polerowane i nadaje im się blasku poprawiając ich wygląd , gładkość i dodatkowo je rozjaśniając. Szczotkowanie zębów dwa, trzy razy dziennie przy użyciu szczoteczki z pastą do zębów, stosowanie płukanek oraz nitkowanie zębów to minimum, które każdy Pacjent musi wykonać każdego dnia.
Uwaga!
Po zabiegu bondingu powinno unikać się past wybielających, gdyż mają one w składzie nie środek wybielający a jedynie środki ścierne. Mogą one zmatowić kompozyt i spowodować, że będą bardziej podatne na osad nazębny i przebarwienia.
Bonding wymaga więc specjalnej pielęgnacji - należy wybierać pasty o niższej ścierności i bardziej delikatne dla szkliwa.
Finansowanie ratalne bondingu jedynek przewodnik
W przypadku chęci finansowania licówek kompozytowych (bondingu) zachęcamy do skorzystania ze współpracującej z nami firmy Mediraty, która bez zbędnych formalności zapłaci za Państwa leczenie, w przypadku krótszych pożyczek nie doliczając oprocentowania.
Oczywiście możecie Państwo skorzystać z dowolnego rozwiązania w firmach pożyczkowych lub u siebie w banku – oprocentowanie kredytów na usługi medyczne jest zwykle bardzo mało oprocentowane bądź zerowe, ponieważ bank ma podwyższone gwarancje zrealizowanej wizyty, a rzecz, którą kupujemy na raty, to inwestowanie w siebie.

Konsultacja merytoryczna lek. dent. Małgorzata Sajnok
W założonym przez siebie gabinecie Dental Care 32 dba o to by interdyscyplinarne plany leczenia obejmujące ortodoncję, endodoncję i implanty kończyły się sukcesem, czyli efektowną metamorfozą uśmiechu przy zachowaniu funkcji uzębienia.
W zakresie jej zainteresowań znajdują się estetyczne rekonstrukcje zębów przednich poprzez zastosowanie:
- licówek kompozytowych (bonding biomimetyczny)
- licówek porcelanowych
- koron protetycznych.
- inlay/onlay/overlay
- konturingu/rekonturingu zębów
- endodoncji mikroskopowej