
Jeśli marzysz o pięknym uzębieniu, zacznij od profilaktyki. Regularne zabiegi higienizacyjne to podstawa. Należą do nich między innymi scaling i piaskowanie zębów. Bardzo szybko uzyskasz pożądane efekty. Popraw wygląd i kondycję swojego uzębienia oraz przeciwdziałaj rozwojowi chorób jamy ustnej. Dowiedz się więcej na temat scalingu i piaskowania, na czym polegają, kiedy wykonywać i jak często, czym się różnią i czy są jakieś przeciwwskazania do wykonania.

Scaling jest zabiegiem polegającym na oczyszczaniu zębów z kamienia nazębnego, który zbiera się na ich powierzchni każdego dnia. Musisz pamiętać o tym, że kamień nazębny stanowi tworzy środowisko sprzyjające namnażaniu się chorobotwórczych bakterii w jamie ustnej. Gromadzi się on w okolicach szyjek zębowych, nad dziąsłami. Rozwijające się bakterie prowadzą do powstawania dziur w uzębieniu i paradontozy. Problem z gromadzącym się kamieniem nazębnym mają przede wszystkim osoby, które palą papierosy, pijące spore ilości herbaty i kawy.
Scaling jest jednym ze sposobów higieny jamy ustnej. Regularne usuwanie kamienia nazębnego przeciwdziała wystąpieniu rozmaitych problemów ze strony jamy ustnej w postaci podrażnienia dziąseł, stanów zapalnych. Regularne wykonywanie scalingu pozwala na uchronienie się przed osłoniętymi szyjkami zębowymi i zanikaniu kości, które otaczają zęby. Zaniedbanie tej kwestii może prowadzić do rozchwiania zębów, rozwoju próchnicy. Codzienne szczotkowanie zębów i ich nitkowanie to podstawa, ale w celu pozbycia się kamienia nazębnego jest niewystarczające. W tym celu przeprowadza się u stomatologa scaling.

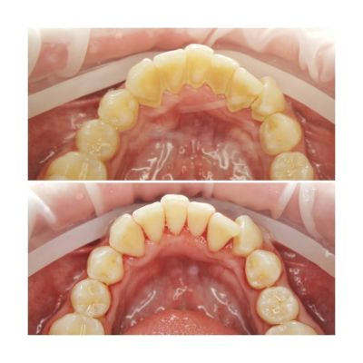
Zdjęcie pokazuje zęby przed i po scalingu.
Regularne wykonywanie scalingu jest sposobem na walkę z nieprzyjemnym oddechem z ust. Wynika to z tego, że za powstawanie brzydkiej woni odpowiadają bakterie rozwijające się w nagromadzonym kamieniu nazębnym. Jeśli usunie się źródło problemu, ustaną nieprzyjemne skutki uboczne. Wystarczy pozbyć się mazi z zębów i dziąseł, aby nie musieć martwić się nieświeżym oddechem.
Wykonując scaling, dba się o cały organizm. Wiele osób nie zdaje sobie nawet sprawy z tego, że stan jamy ustnej ma ogromny wpływ na ogólne zdrowie. Choroby dziąseł i ich zapalenie to prosta droga do wystąpienia problemów ze strony układu sercowo-naczyniowego. Zwiększają one ryzyko wystąpienia schorzeń mięśnia sercowego, nadciśnienia tętniczego krwi i nawet cukrzycy. Okazuje się, że nagromadzony kamień nazębny może stać się przyczyną wielu schorzeń, dlatego kluczowe jest jego regularne usuwanie.
Wykonując scaling dwa razy w roku, można zaoszczędzić sporo pieniędzy, czasu i bólu. Profilaktyka to podstawa. Regularne dbanie o uzębienie i całą jamę ustną przeciwdziała rozwojowi próchnicy. Można także wykryć wcześnie ubytki i je wyleczyć, unikając poważniejszych problemów w postaci infekcji, leczenia kanałowego.
Scaling uzębienia jest stosunkowo łatwym zabiegiem. Do jego wykonania konieczne jest użycie specjalnego narzędzia w postaci skalera. Pozwala na precyzyjne dotarcie do każdego zakamarka. Skaler ma końcówkę podobną do haczyka/dłuta. Służy do usuwania kamienia nazębnego i osadów z powierzchni uzębienia, przestrzeni miedzyzębowych i z okolic dziąseł. Zabieg powoduje dyskomfort, dlatego przeprowadza się go pod nieczuleniem miejscowym. W ten sposób pacjent nie musi zmagać się z dolegliwościami bólowymi. Niezbędne staje się także dokładne wypolerowanie zębów po przeprowadzeniu zabiegu scalingu.
Scaling może być naddziąsłowy lub poddziąsłowy. W pierwszym przypadku mowa jest o zabiegu profilaktycznym. Usuwa się kamień nazębny zgromadzony na powierzchni korony zębów. Z kolei zabiegiem profilaktycznym i jednocześnie leczniczym jest scaling poddziąsłowy. Służy do pozbywania się zarówno kamienia nazębnego, jak i bakterii znajdujących się pod powierzchnią dziąseł. Nie można zobaczyć ich gołym okiem, ale ich rozwój stanowi poważny problem. Na scaling poddziąsłowy powinny zostać skierowane osoby, u którym pojawiły się symptomy zaplenia przyzębia. Jeśli scaling poddziąsłowy ma charakter leczniczy, to trzeba przeprowadzać go częściej, czyli mniej więcej co trzy-cztery miesiące.
Jest wiele metod pozwalających na dokładne oczyszczenie uzębienia. W stomatologii korzysta się z metody mechanicznej, manualnej, dźwiękowej i ultradźwiękowej, laserowej oraz chemicznej. W przypadku metody mechanicznej usuwa się kamień nazębny podczas frezowania, przy wykorzystaniu specjalistycznego sprzętu. Stomatolog może zrobić to także za pomocą tradycyjnych narzędzi manualnych, co jednak nie przynosi tak dobrych efektów jak nowoczesne metody.
Obecnie najczęściej stosuje się metodę dźwiękową i ultradźwiękową, która pozwala na usunięcie kamienia nazębnego dzięki narzędziom, które emitują fale dźwiękowe i ultradźwiękowe. Nowoczesna metoda wykorzystuje laser dentystyczny. Z kolei przy metodzie chemicznej stosuje się specjalny roztwór chemiczny, który rozpuszcza kamień nazębny.
Scaling powinien wykonywać każdy, bo jest to jeden z podstawowych zabiegów higienizacyjnych. Jest on zalecany przede wszystkim osobom, u których wykryto nadmierne ilości kamienia nazębnego i osadu nazębnego. Powinny zdecydować się na zabieg wszyscy, którzy zmagają się z chorobami przyzębia.
Najlepiej byłoby wykonywać scaling dwa razy w roku. Czasem trzeba jednak przeprowadzać go częściej. Jest to zawsze indywidualna kwestia, w zależności od sposobu odżywiania, stanu uzębienia. U niektórych osób pojawia się częstsza potrzeba dokładnego czyszczenia zębów w gabinecie stomatologicznym. Wynika ona z tego, że są podatniejsze na gromadzenie się kamienia nazębnego. W ich przypadku pojawia się potrzeba wykonania scalingu nawet co trzy-cztery miesiące.
Scaling trzeba przeprowadzać częściej niż raz na pół roku w przypadku niewłaściwej higieny jamy ustnej. Jest to też wskazane przy nieprawidłowym wypełnieniu uzębienia. Większa częstotliwość zabiegu będzie wskazana przy częstym piciu kawy i herbaty oraz innych napojów przyczyniających się do powstawania osadów. Scaling trzeba wykonywać częściej w przypadku palenia papierosów. Wskazaniem jest także spożywanie sporych ilości nabiału. Zdarza się też, że u niektórych za większe skłonności do powstawania kamienia nazębnego odpowiadają predyspozycje genetyczne.
Są pewne przeciwwskazania do przeprowadzenia zabiegu scalingu zębów. Nie ma ich wiele, ale niektóre osoby nie mogą skorzystać z tej metody oczyszczania uzębienia. Przeciwwskazaniem do wykonania scalingu jest rozrusznik serca. Z zabiegu muszą zrezygnować także kobiety ciężarne. Scaling nie jest odpowiedni przy odklejeniu się siatkówki oka. Nie wykonuje się go przy rozwiniętej osteoporozie. Przeciwwskazaniem do scalingu są także implanty zębowe. Nie zaleca się profesjonalnego oczyszczania zębów osobom, u których występują poważne zaburzenia układu odpornościowego.
Jeśli chcesz jak najdłużej utrzymać efekty uzyskane dzięki zabiegowi scalingu, przestrzegaj zaleceń pozabiegowych. Prze dwie godziny po profesjonalnym oczyszczeniu uzębienia powinieneś powstrzymywać się zarówno od jedzenia, jak i picia. Najlepiej ograniczyć się wyłącznie do przyjmowania czystej wody mineralnej. Z kolei przez całą dobę po scalingu zaleca się utrzymywać białą dietę. Oznacza to unikanie wszystkich pokarmów i napojów, które zawierają barwniki.
Jeśli nie chcesz mieć osadów na zębach i ograniczyć osadzanie kamienia nazębnego, nie sięgaj przynajmniej przez dobę po buraki, sos pomidorowy, czerwone wino, czarną kawę, herbatę, czekoladę, sok owocowy, owoce jagodowe, szpinak. Po scalingu może wystąpić nadwrażliwość dziąseł i zębów, dlatego w celu złagodzenia nieprzyjemnych dolegliwości zaleca się szczotkowanie zębów specjalną pastą do zębów nadwrażliwych przez kilka dni.
Scaling i piaskowanie są zabiegami higienizacyjnymi, które pomimo pewnych podobieństw mają też sporo różnic. Nie są one tym samym, ale warto wykonywać oba w gabinecie stomatologicznym. W obu przypadkach celem jest usunięcie osadu nazębnego. Wykonanie scalingu trwa zwykłe dłuższej ze względu na to, że trzeba dokładniejszej pracy ze skalerem. W przypadku scalingu można pozbyć się wszystkich twardych złogów i przebarwień. Z kolei piaskowanie traktuje się najczęściej jako zabieg uzupełniający lub przygotowujący zęby do scalingu. Oba zabiegi higienizacyjne są także wykonywane przed wybielaniem uzębienia w gabinecie stomatologicznym.
Piaskowanie przeprowadza się przy wykorzystaniu innego narzędzia w postaci piaskarki. Czyszczenie następuje przy pomocy mieszanki wody, powietrza i specjalnego preparatu czyszczącego. Zaletą piaskowania jest wzmacnianie zębów ze względu na wzbogacenie szkliwa o minerały. W ten sposób zwiększa się odporność uzębienia na rozwój rozmaitych schorzeń. Jeśli chcesz dokładnie oczyścić zęby i jednocześnie je zabezpieczyć, połącz scaling i piaskowanie. Więcej informacji o scalingu i innych zabiegach higienizacyjnych możesz uzyskać na stronei https://pl.wikipedia.org/wiki/Skaling.
W dentacare32 oferujemy rozmaite usługi, które nie ograniczają się wyłącznie do scalingu i piaskowania - wszystkie wykonywane przez wykwalifikowany personel: higienistki lub lekarzy dentystów. Obejmują one endodoncję mikroskopową, ortodoncję, protetykę, implantoprotetykę, chirurgię stomatologiczną, stomatologię zachowawczą, stomatologię dziecięca i nawet medycynę estetyczną. Możesz zapisać się na profesjonalny zabieg wybielania zębów. W dentalcare32 wykonujemy wysokiej jakości licówki, protezy, implanty, szyby relaksacyjne. Możesz skontaktować się z nami telefonicznie lub wysłać wiadomość mailową. Wszystkie niezbędne informacje wraz ze wskazówkami dojazdu do gabinetu znajdziesz na naszej stronie internetowej.
Konsultacja merytoryczna lek. dent. Małgorzata Sajnok

W założonym przez siebie gabinecie Dental Care 32 dba o to by interdyscyplinarne plany leczenia obejmujące ortodoncję, endodoncję i implanty kończyły się sukcesem, czyli efektowną metamorfozą uśmiechu przy zachowaniu funkcji uzębienia.
W zakresie jej zainteresowań znajdują się estetyczne rekonstrukcje zębów przednich poprzez zastosowanie:
- licówek kompozytowych (bonding biomimetyczny)
- licówek porcelanowych
- koron protetycznych.
- inlay/onlay/overlay
- konturingu/rekonturingu zębów
- endodoncji mikroskopowej