

Najbardziej cieszy nas chwila, kiedy Pacjent, będący pod naszą stałą opieką, przychodzi na profilaktykę stomatologiczną, a po jej wykonaniu dowiaduje się, że nie ma żadnych nowych ubytków.
Jest to ukoronowaniem naszej pracy i dowodem na to, ż efekty naszych działań utrzymują się długo – pod warunkiem regularnych kontroli/przeglądów.
Profilaktyka stomatologiczna jest często zabiegiem, przy którym następuje pierwszy kontakt pacjenta z gabinetem dentystycznym.
Wykonujemy ją bardzo starannie i delikatnie, łącząc na życzenie Pacjenta z instruktażem higieny jamy ustnej - uczymy odpowiedniego używania szczoteczki, czy nici dentystycznej, a także służymy pomocą w wyborze odpowiedniej pasty, irygatora etc.
Zapraszamy na zabiegi profesjonalnej profilaktyki stomatologicznej, które w gabinecie stomatologicznym Dental Care 32 polegają na:
Wymienione zabiegi wykonywane są w ramach usługi higienizacji zębów.
Regularne wizyty kontrolne w gabinecie stomatologicznym pozwalają na wczesne wykrycie wszelkich nieprawidłowości w jamie ustnej – nie tylko nowych ubytków, ale także stanów zapalnych dziąseł, początkowych zmian próchnicowych czy problemów z przyzębiem. Dzięki systematycznym przeglądom można uniknąć kosztownego i skomplikowanego leczenia w przyszłości, a także zachować piękny uśmiech i komfort życia na długie lata. Zaleca się, aby przynajmniej dwa razy w roku odwiedzać stomatologa w celu kontroli stanu zdrowia jamy ustnej.

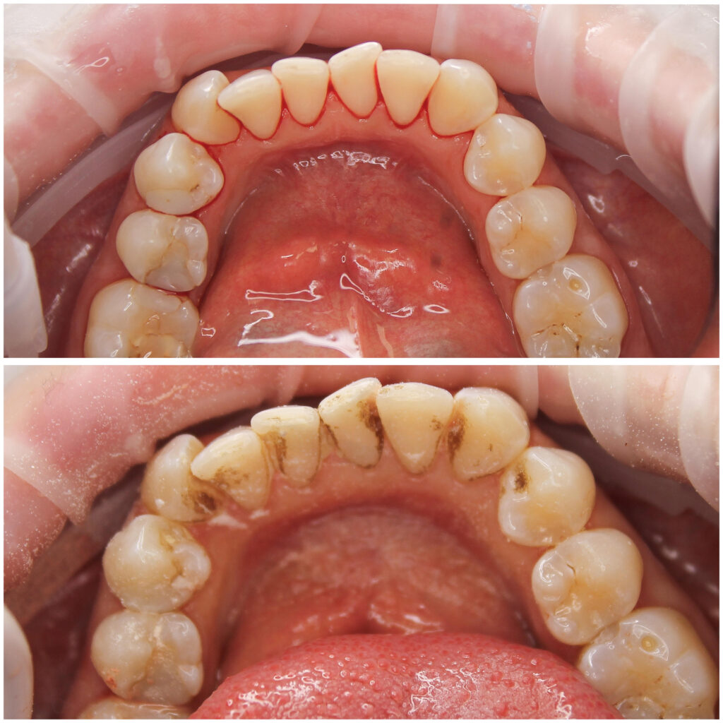
Zabiegi profilaktyczne w gabinecie stomatologicznym obejmują szereg procedur, których celem jest zapobieganie chorobom zębów i dziąseł. Wśród najważniejszych znajdują się: badanie kontrolne z instruktażem higieny domowej, skaling naddziąsłowy i poddziąsłowy zakończony polerowaniem, piaskowanie oraz kontaktowe stosowanie preparatów fluoru. Każdy z tych zabiegów ma na celu dokładne oczyszczenie zębów z osadów i kamienia, wzmocnienie szkliwa oraz edukację pacjenta w zakresie codziennej higieny.
Podstawą zdrowia zębów i dziąseł jest codzienna, prawidłowa higiena jamy ustnej. Szczotkowanie zębów minimum dwa razy dziennie, stosowanie nici dentystycznej do oczyszczania przestrzeni międzyzębowych, płukanie jamy ustnej odpowiednimi płynami oraz regularne czyszczenie języka to kluczowe nawyki, które skutecznie ograniczają ryzyko powstawania próchnicy i chorób przyzębia. Właściwy dobór szczoteczki i pasty do zębów, a także nauka odpowiednich technik szczotkowania, mają ogromny wpływ na zdrowie jamy ustnej każdego dnia.
To, co jemy i pijemy, ma bezpośredni wpływ na stan naszych zębów. Dieta bogata w cukry sprzyja rozwojowi próchnicy, a częste spożywanie kwaśnych napojów może prowadzić do erozji szkliwa. Warto ograniczać słodycze, napoje gazowane i przekąski między posiłkami. Z kolei produkty bogate w wapń i fluor, takie jak nabiał czy ryby, wzmacniają szkliwo i pomagają utrzymać zdrowe zęby. Prawidłowe nawyki żywieniowe to ważny element skutecznej profilaktyki stomatologicznej.
Każda grupa wiekowa wymaga indywidualnego podejścia do profilaktyki stomatologicznej. U dzieci szczególnie ważne są regularne wizyty kontrolne, lakowanie zębów oraz nauka właściwych nawyków higienicznych. Dorośli powinni zwracać uwagę na codzienną higienę, regularne usuwanie kamienia nazębnego i stosowanie fluoryzacji. Seniorzy, zwłaszcza posiadający protezy lub implanty, wymagają specjalistycznej opieki, aby zachować zdrowie dziąseł i zapobiegać powikłaniom. Odpowiednio dobrana profilaktyka na każdym etapie życia pozwala cieszyć się zdrowym uśmiechem przez długie lata.
Zapraszamy do lektury naszego bloga, gdzie znajdziecie Państwo wiele ciekawych porad dotyczących szczoteczek, past do zębów, irygatorów, a także informację jak prawidłowo dbać o zęby by uniknąć problemów z próchnicą.
Ponieważ lepiej jest zapobiegać niż leczyć: https://dentalcare32.pl/profilaktyka-stomatologiczna-lepiej-zapobiegac-niz-leczyc/, poniżej przygotowaliśmy słowniczek pojęć, który ułatwi Państwu rozmowę dotyczącą higieny jamy ustnej podczas takiego spotkania.
Osad nazębny:
Są to przebarwienia koron zębów powstających w trakcie spożywania niektórych pokarmów lub napojów oraz palenia tytoniu. Przebarwienia takie usuwa się w trakcie tzw. piaskowania.
Kamień nazębny:
Powstaje na skutek niedokładnego oczyszczania zębów i jest to zmineralizowana płytka nazębna, której nie można usunąć przy pomocy zwykłej szczoteczki do zębów/ metodami higieny domowej. Kamień nazębny przylega ściśle do zębów i może być usunięty tylko w gabinecie stomatologicznym.
Warto pamiętać również, że nieusunięty kamień nazębny powoduje wystąpienie zapalenia dziąseł, a nieleczone zapalenie dziąseł może prowadzić w konsekwencji do zaników kości.
Skaling:
Jest zabiegiem polegającym na usunięciu złogów nazębnych oraz poddziąsłowych czyli kamienia przy pomocy narzędzi ultradźwiękowych.
Każdy zabieg skalingu w naszym gabinecie jest zakończony polerowaniem przy pomocy szczoteczek i gumek z wykorzystaniem specjalnej pasty polerskiej. Zabieg ten powinno się wykonywać przynajmniej 2 razy w roku, natomiast w przypadku istnienia zmian zapalnych dziąsła – znacznie częściej.
Piaskowanie:
Jest zabiegiem polegającym na usunięciu osadu nazębnego przy użyciu odpowiedniego sprzętu tzw. piaskarek, które „dmuchają” na powierzchnię przebarwionego zęba silnym strumieniem sprężonego powietrza, wody oraz dwuwęglanu sodu (czyli tzw. piasku).
Piaskowanie w naszym gabinecie wykonujemy profesjonalną piaskarką EMS HANDY 2 i w zależności od potrzeb pacjenta (np. wrażliwe przyzębie) dobieramy odpowiedni piasek.
Fluoryzacja:
Po mechanicznym profesjonalnym oczyszczeniu zębów należy zastosować kontaktowe fluorkowanie zębów.
Celem zabiegu fluoryzacji jest zapobieganie nadwrażliwości szyjek zębów po zabiegach skalingu i piaskowania, oraz zabezpieczenie zębów przed próchnicą.
W naszym gabinecie fluoryzację przeprowadzamy:
Mikroabrazja szkliwa:
Za pomocą prawidłowo przeprowadzonej mikroabrazji szkliwa można usunąć w trwały sposób najróżniejsze przebarwienia zębów bez utraty tkanki szkliwnej. Przebarwienia na szkliwie mogą powstawać na skutek przewlekłego odkładania się płytki nazębnej na powierzchni zębów. Występują one również u pacjentów leczonych ortodontycznie, a widoczne są jako białe, a czasem brązowe (na skutek wnikania w pory odwapnionego szkliwa osadów) odwapnienia.
Dodatkowo, poprzez nakładanie masy mikroabrazyjnej obrotową końcówką, na zębie powstaje gładka powierzchnia przypominająca szkło, która jest bardziej odporna na działanie kwasów i powstawanie płytki nazębnej niż szkliwo niepoddane takiemu zabiegowi.
Współczesna stomatologia oferuje szereg zaawansowanych metod profilaktyki, które pozwalają jeszcze skuteczniej dbać o zdrowie jamy ustnej. Do takich technik należy m.in. mikroabrazja szkliwa, która umożliwia usunięcie trwałych przebarwień bez utraty tkanki zęba. Nowoczesne piaskarki, specjalistyczne preparaty do fluoryzacji oraz narzędzia ultradźwiękowe stosowane podczas skalingu zapewniają wysoką skuteczność i bezpieczeństwo zabiegów. Dzięki nim profilaktyka jest nie tylko skuteczna, ale również komfortowa dla pacjenta.
Bibliografia:
1. https://www.sciencedirect.com/topics/nursing-and-health-professions/dental-prophylaxis
2. https://www.fdiworlddental.org/sites/default/files/2020-11/2016-fdi_cpp-white_paper.pdf