Efekty „przed i po” prezentują widoczne rezultaty nowoczesnych zabiegów stomatologicznych, estetycznych i profilaktycznych. Każda metamorfoza to indywidualnie zaplanowane leczenie, dopasowane do potrzeb i oczekiwań pacjenta. Zdjęcia ukazują naturalne, harmonijne efekty, które osiągamy dzięki doświadczeniu zespołu i nowoczesnym technologiom. To najlepszy dowód jakości naszej pracy i skuteczności oferowanych rozwiązań.






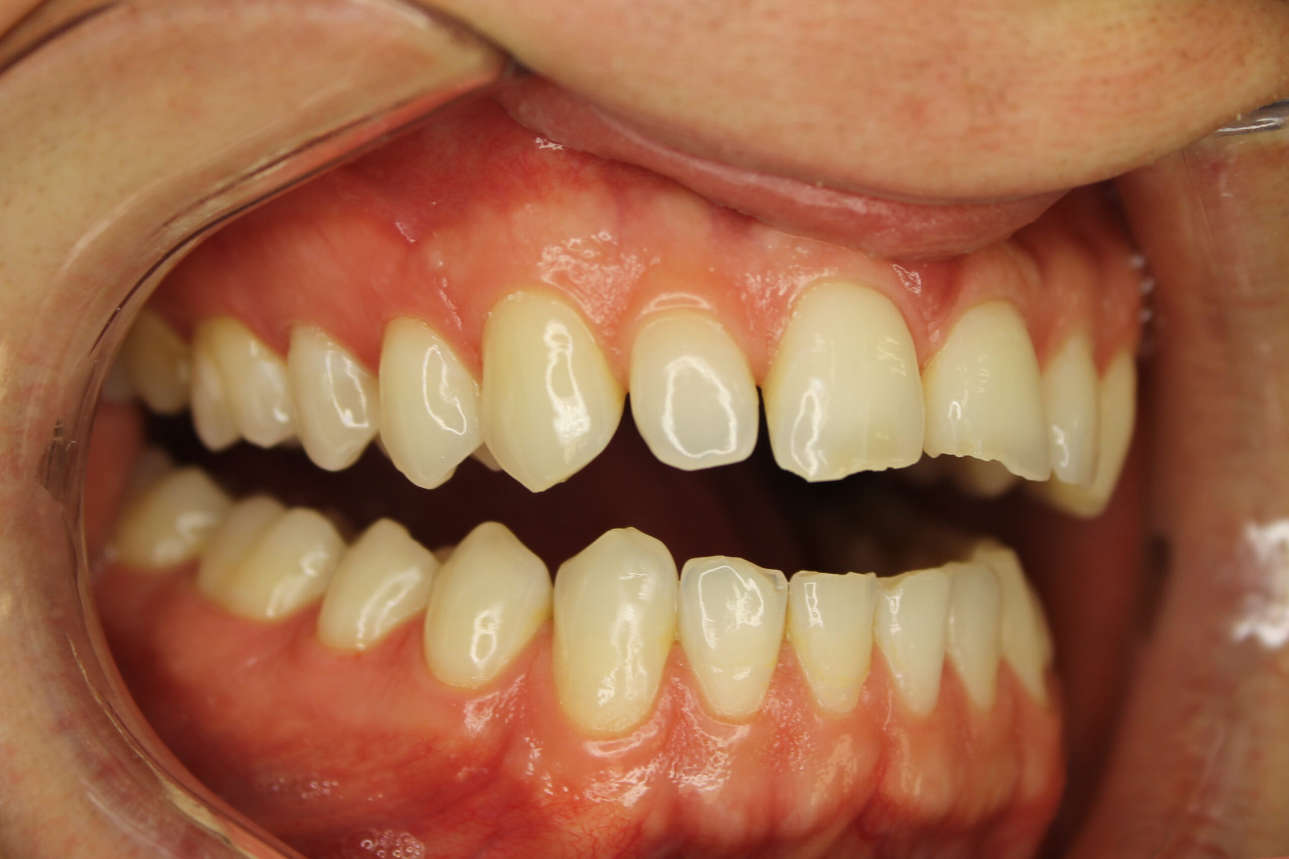
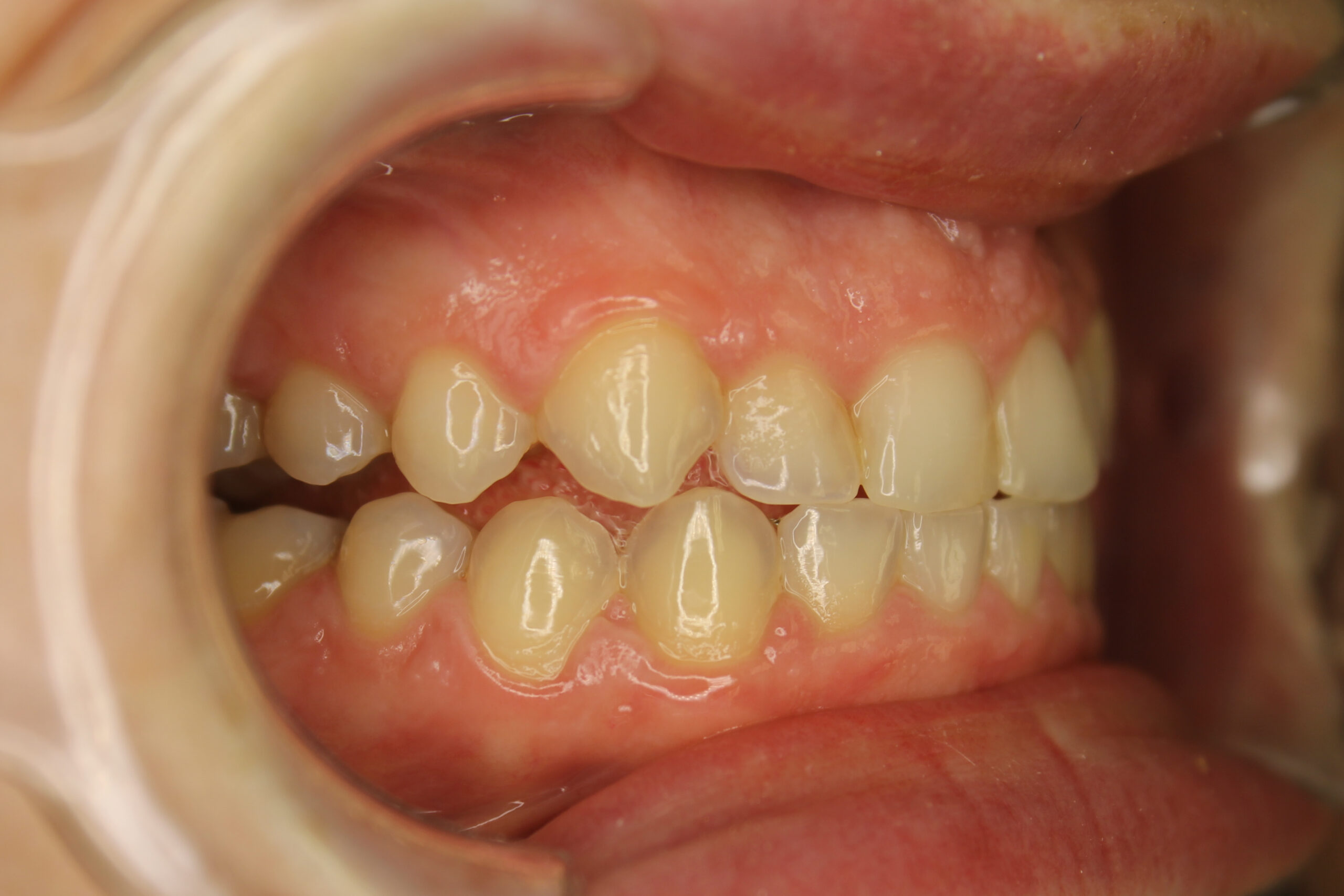
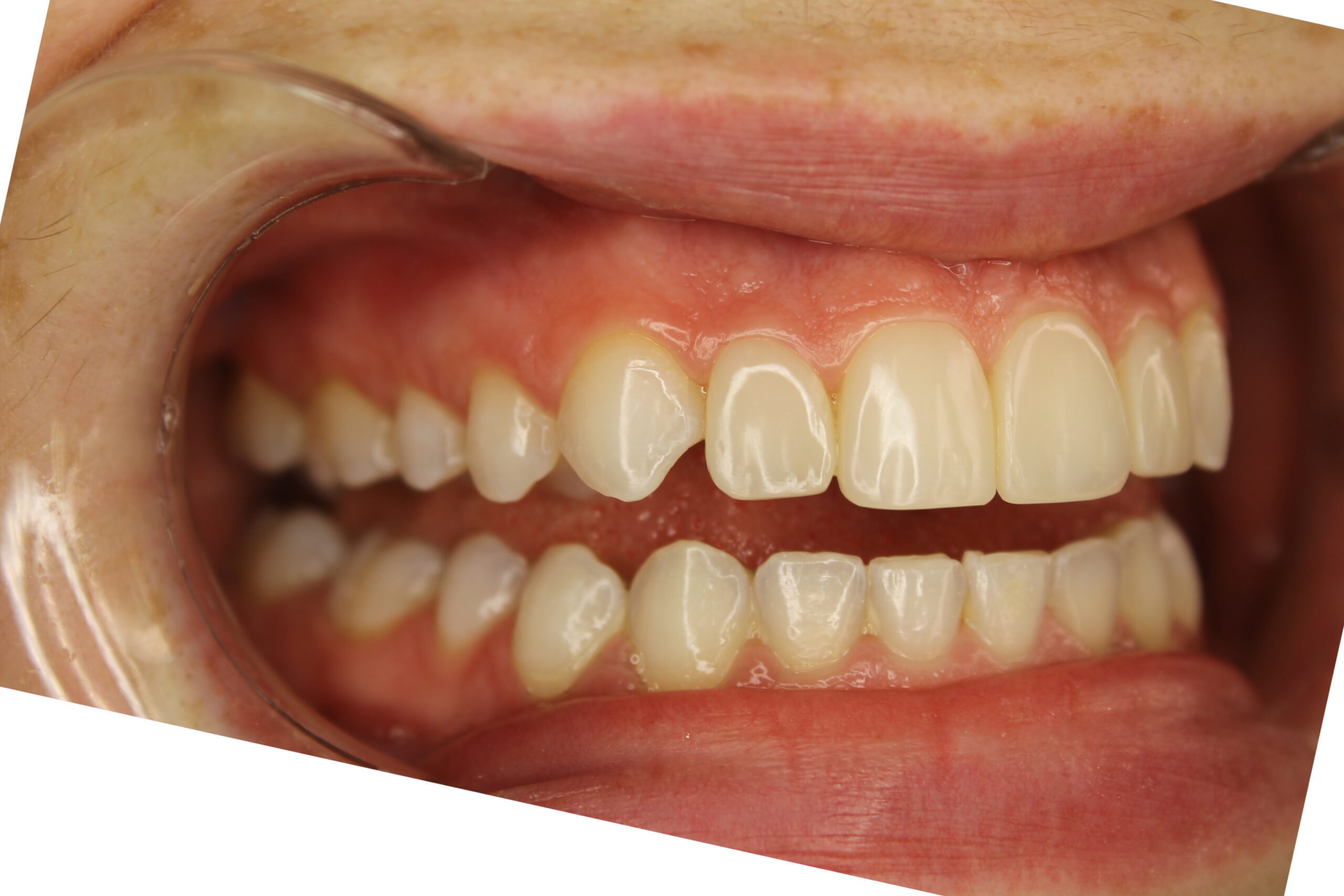
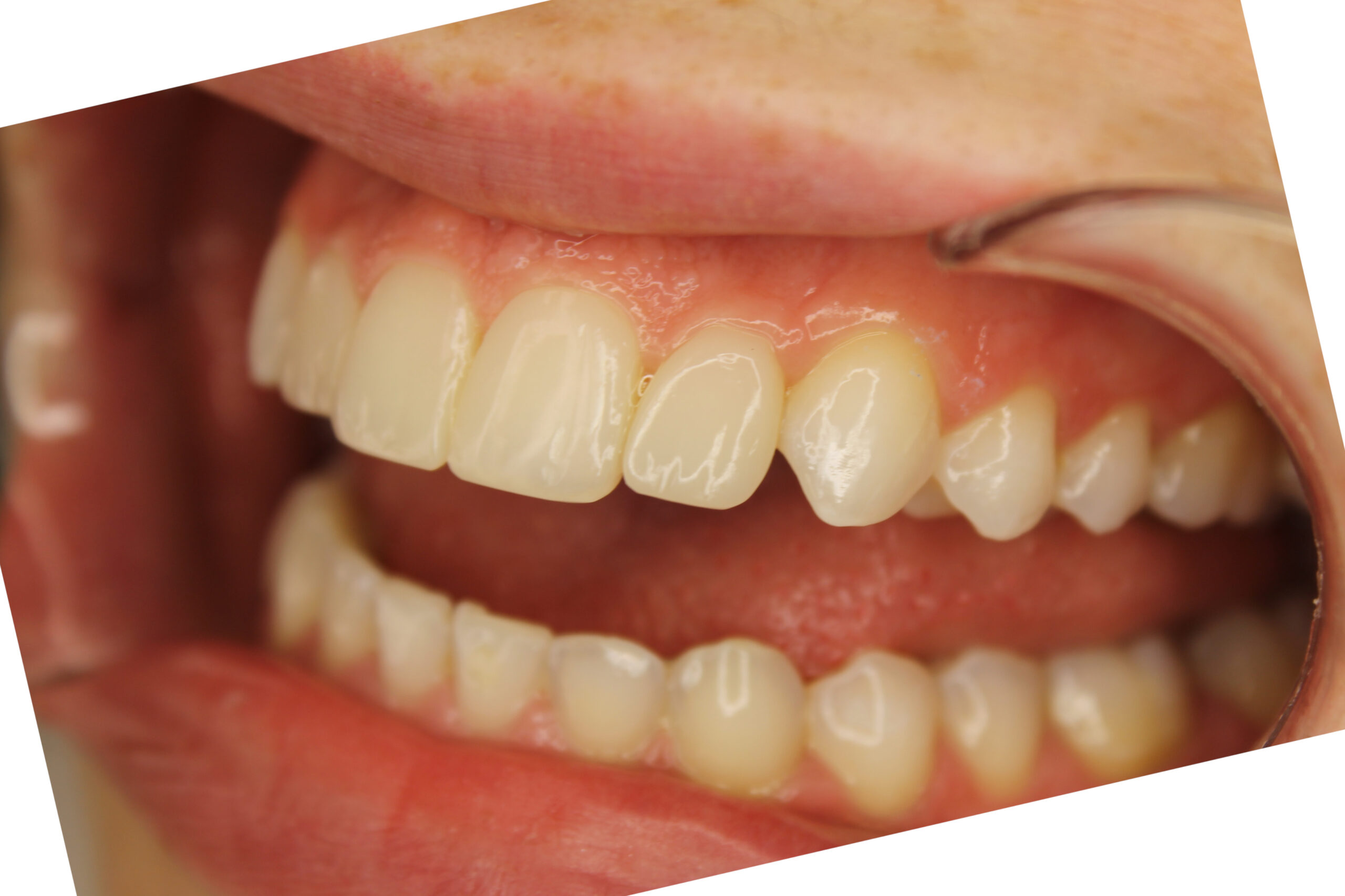
Pacjentka trafiła do nas po zakończeniu leczenia ortodontycznego, a jej marzeniem był piękny harmonijny uśmiech. W celu uzyskania efektownego Hollywood Smile interdyscyplinarne leczenie estetyczne składało się się z kilku etapów:
W pierwszej kolejności wykonaliśmy pełną higienizację zębów z instruktażem oraz skan diagnostyczny 3D zębów. Kolejnym krokiem było wybielanie zębów naszą metodą hybrydową z użyciem lampy Philips Zoom®!. Po zakończeniu wybielania dr Sajnok wykonała gingiwektomię - czyli korektę przerośniętych dziąseł. W przypadku tej metamorfozy usunięto nadmiar dziąsła odsłaniając tym samym korony zębów do prawidłowych długości. Finalny etap leczenia to bonding biomimetyczny 8 przednich zębów, do którego zastosowano materiał w odcieniu B1 - taki sam jaki uzyskano po wybielaniu. Dzięki temu zęby wybielone i objęte bondingiem tworzą piękny uśmiech w jednolitym odcieniu bieli.






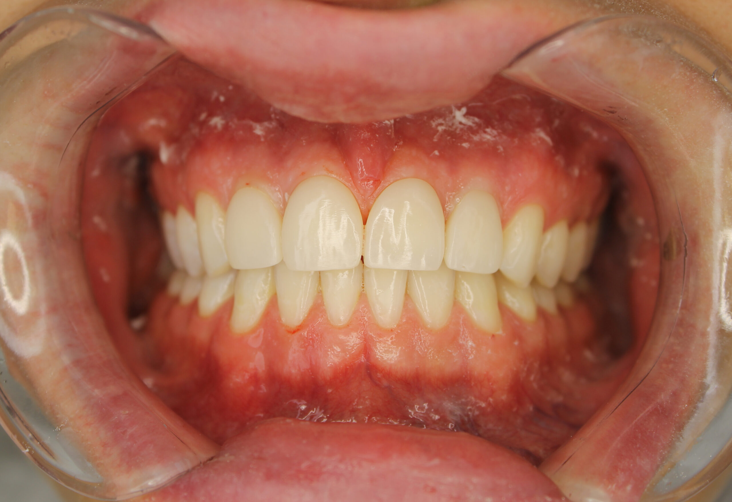
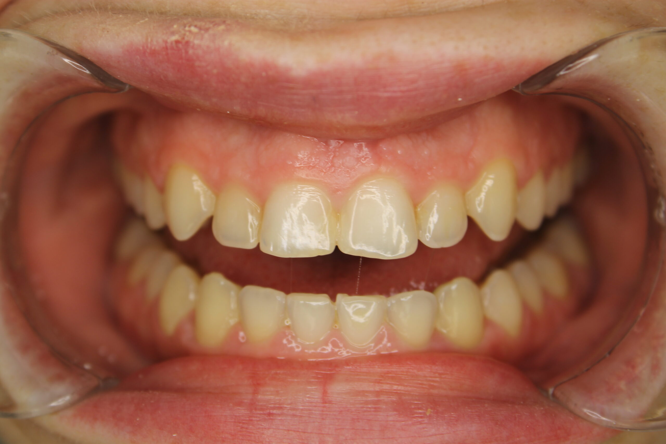
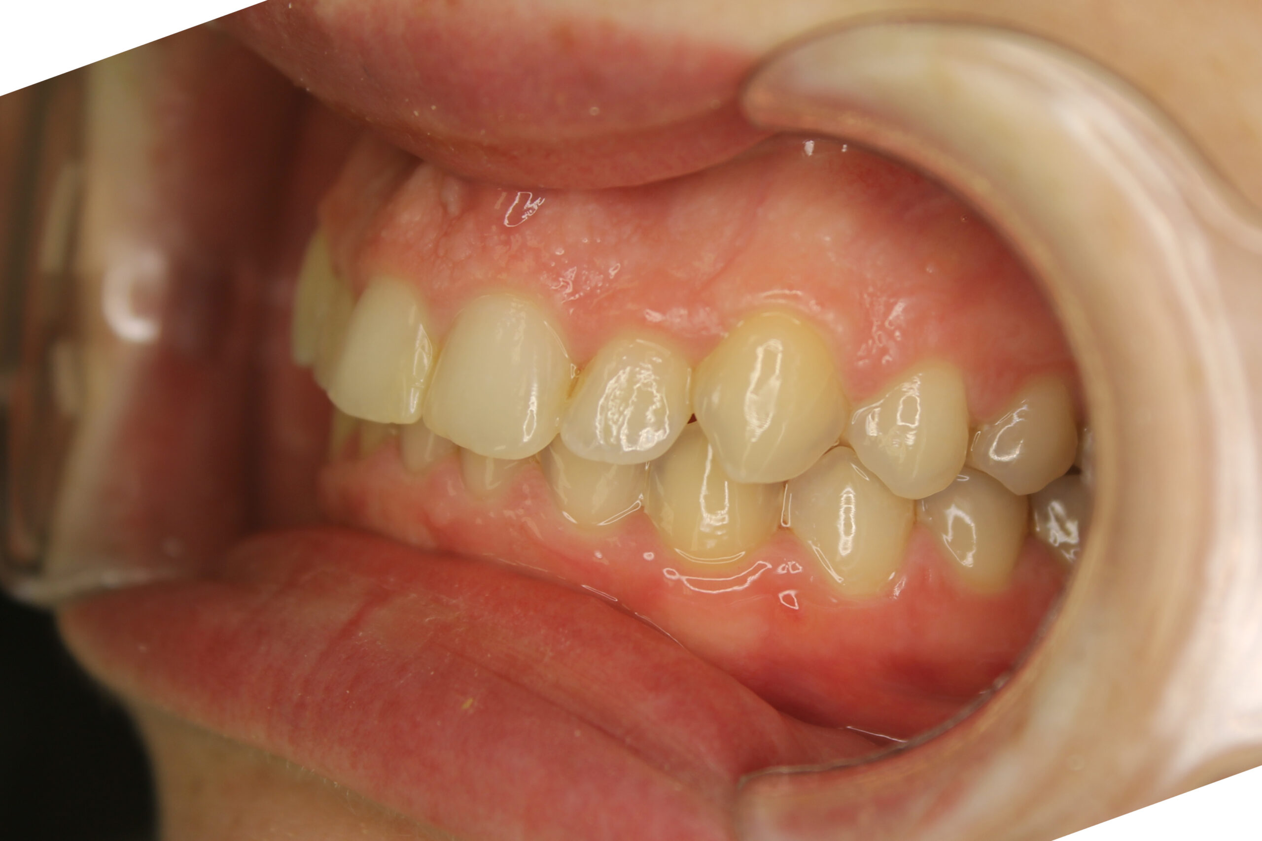
Prezentowana metamorfoza uśmiechu obejmowała bonding biomimetyczny jedynek i dwójek w odcieniu A2. Jest to naturalny kolor zębów Pacjentki, co oznacza, że nie było konieczności wybielania zębów. W tym przypadku naszym celem była odbudowa startych dwójek i wysunięcie ich dowargowo (do przodu), przy jednoczesnym wysunięciu i wydłużeniu jedynek. Efektem jest piękny, naturalny i symetryczny uśmiech osiągnięty podczas 2 wizyt w klinice Dental Care 32.






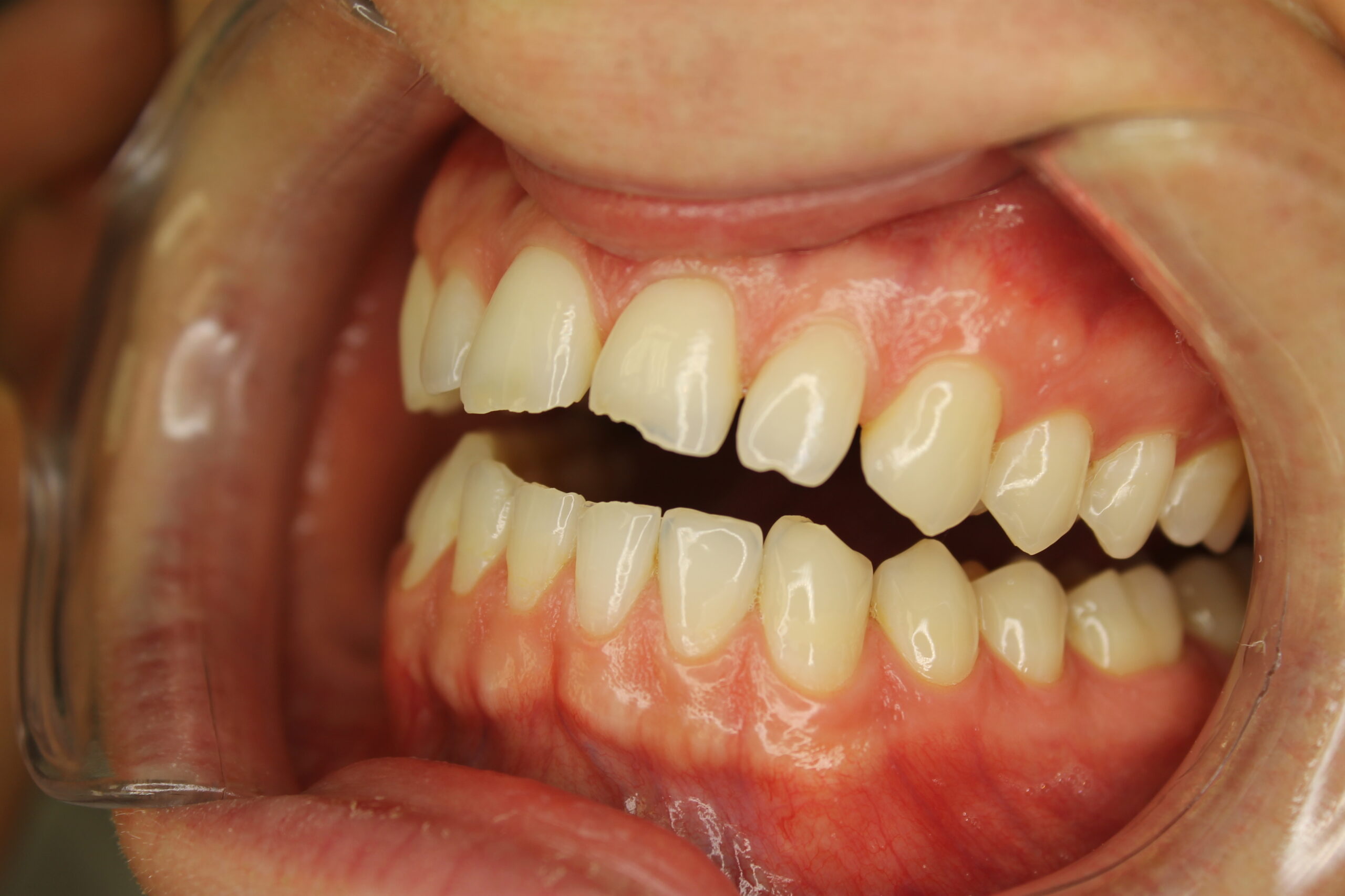
Porównanie powyżej ukazuje poprawę estetyki odcinka przedniego zębów polegającej na bondingu 4 przednich zębów - jedynek i dwójek. Zęby na ukazanej metamorfozie zostały wybielone rok wcześniej systemem Philips Zoom!®, który daje trwałe efekty. Dzięki temu teraz przygotowanie do bondingu obejmowało już tylko higienizację. Po konsultacji i planowaniu pracy wspólnie z Pacjentem wykonano bonding materiałem w odcieniu B1, wyrównując wyłamane brzegi sieczne i zamykając tzw. diastemy (czyli przerwy między zębami).






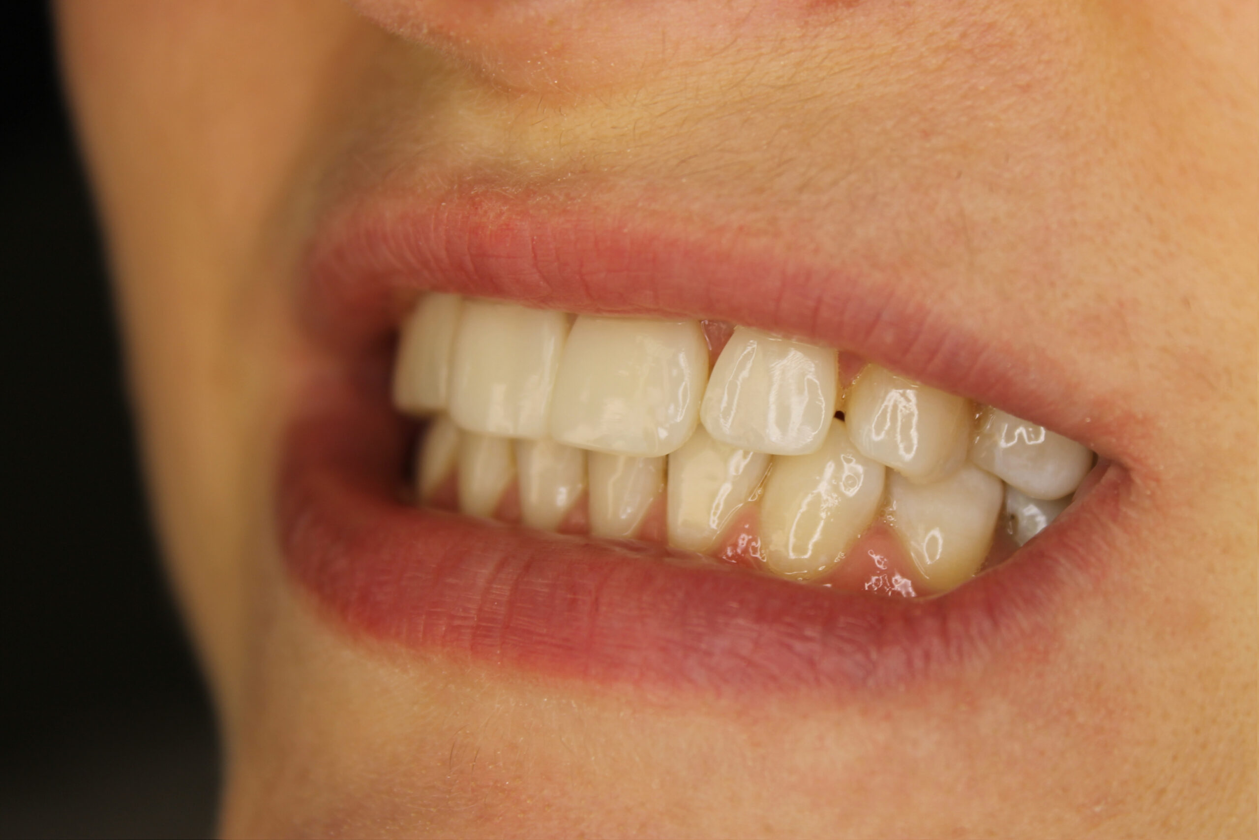
Pacjentka pragnęła zdecydowanej metamorfozy - poprawy estetyki odcinka przedniego zębów i dodania uśmiechowi blasku. Jako pierwszy etap wykonano wybielanie hybrydowe uzyskując rozjaśnienie zębów z odcienia A3 do znacznie bielszego odcienia B1. Następnie dr Małgorzata Sajnok wykonała bonding kompozytowy sześciu przednich zębów (górnych i dolnych) w odcieniu XBW. Efekty? Pacjentka olśniewa teraz hollywoodzkim uśmiechem!






Pacjent ze startymi brzegami siecznymi chciał wiernie zrekonstruować swój uśmiech, czyli zachować naturalny kolor i wygląd swojego uzębienia. Bonding biomimetyczny wykonany przez dr Małgorzatę Sajnok pozwolił na korektę długości brzegów siecznych oraz wyrównanie kształtu 6 przednich górnych zębów. Zgodnie z życzeniem Pacjenta struktura i kolor nowego szkliwa wiernie imitują jego pozostałe zęby.






Widoczne starcia i wyłamania zębów, które skłoniły Pacjentkę do konsultacji uśmiechu, zostały wyeliminowane dzięki licówkom kompozytowym. Bonding 6 zębów górnych i 2 dolnych pozwolił na zamknięcie szpar pomiędzy zębami oraz na wyeliminowanie starć i wyłamań, a wybielanie rozświetliło zęby dodając im blasku. Praca w odcieniu B1.






Nowoczesna stomatologia estetyczna pozwala na korekty uśmiechu w spektakularny, ale nieinwazyjny sposób.
Bonding biomimetyczny zakresie 4 zębów górnych przednich (kolor A1) nie tylko odświeżył zęby znajdujące się w obrębie uśmiechu, ale pozwolił także na korektę szpary (diastemy) widocznej na "zdjęciach przed" pomiędzy jedynkami.






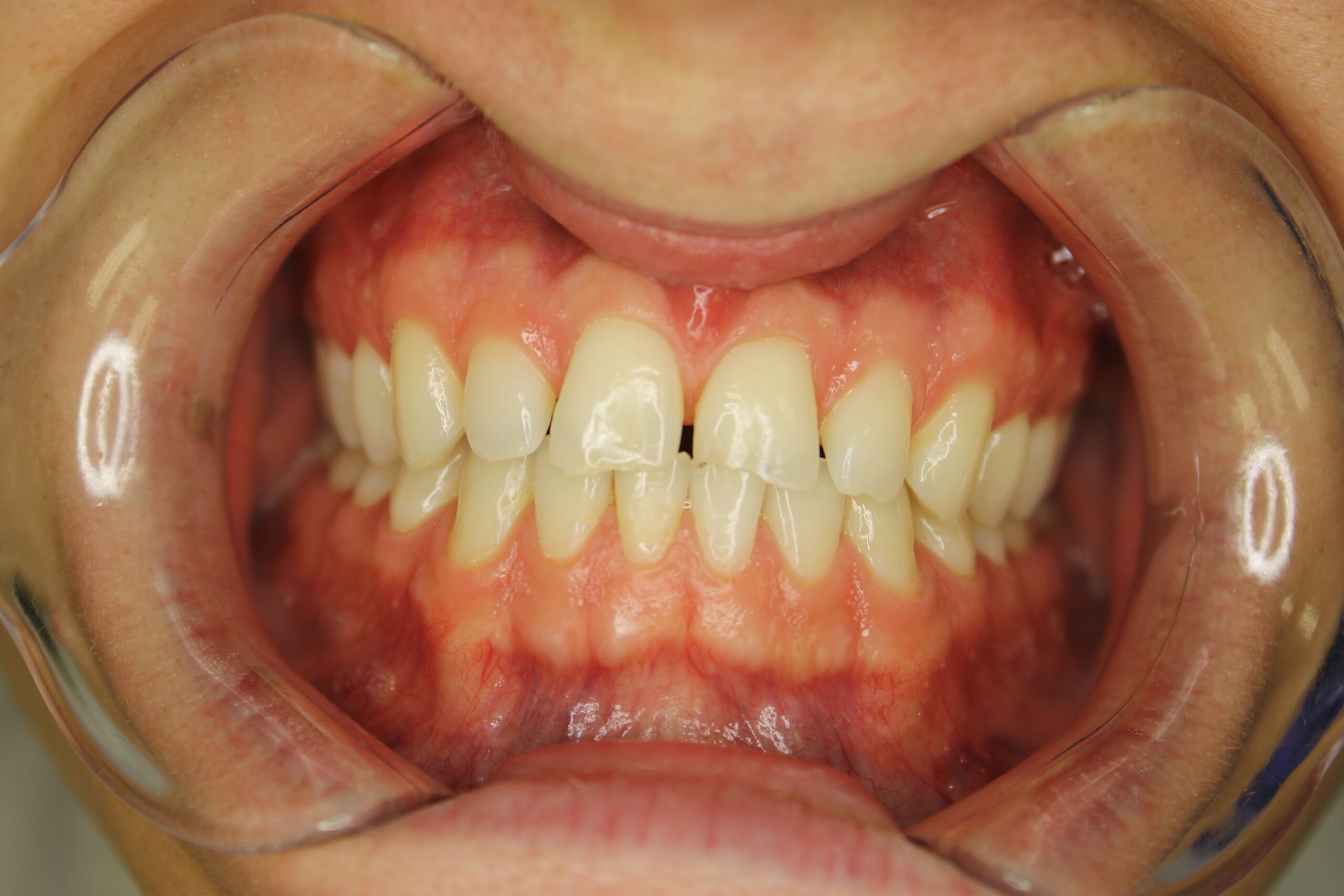
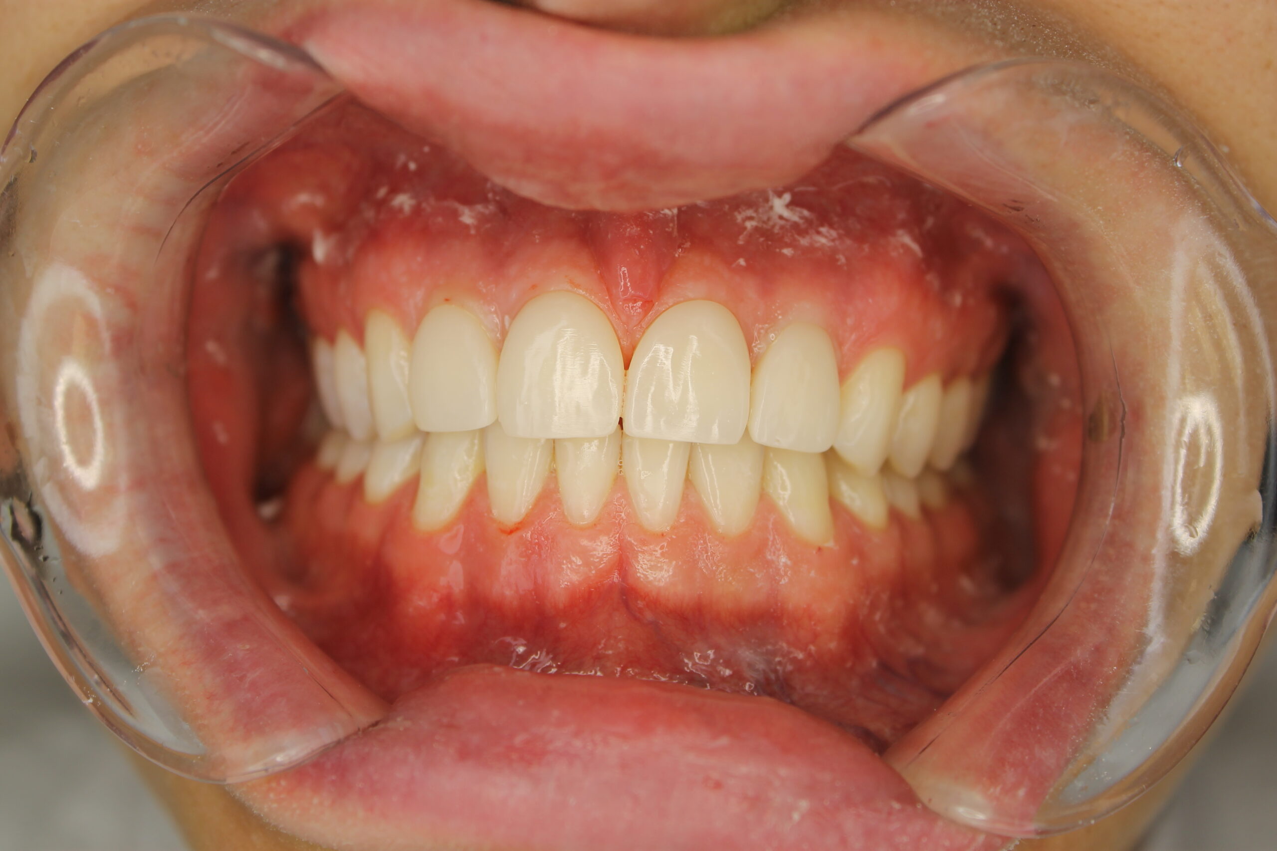
Powyższe zdjęcia przed i po ukazują metamorfozę Pacjentki, która zgłosiła się do dr Sajnok po leczeniu ortodontycznym, czyli mając już wyprostowane zęby. Działania niezbędne na drodze do nowego uśmiechu obejmowały wyrównanie zbyt krótkich i nierównych koron zębowych oraz korektę widocznych starć szkliwa. Zastosowano: wybielanie hybrydowe, rekonturing (gingiwektomię) dziąseł oraz bonding 4 zębów przednich w odcieniu B1.