
Bonding poprawia kształt i barwę uśmiechu Pacjenta tworząc na jego zębach taflę nowego, gładkiego szkliwa w pożądanym kolorze.
Zabieg jest w pełni odwracalny, nieinwazyjny i możliwy do wykonania podczas 1 wizyty roboczej.
Pozwala uzyskać efekt hollywoodzkiego uśmiechu komfortowo i bezpiecznie i stał się możliwy dzięki wynalezieniu nowoczesnych kompozytów światłoutwardzalnych na bazie żywicy.
Dr Sajnok stosuje bonding na mniej zniszczonych zębach, do większych korekt potrzebne może być zastosowanie licówek porcelanowych.



Przeprowadzenie procedury: lek. dent. Małgorzata Sajnok
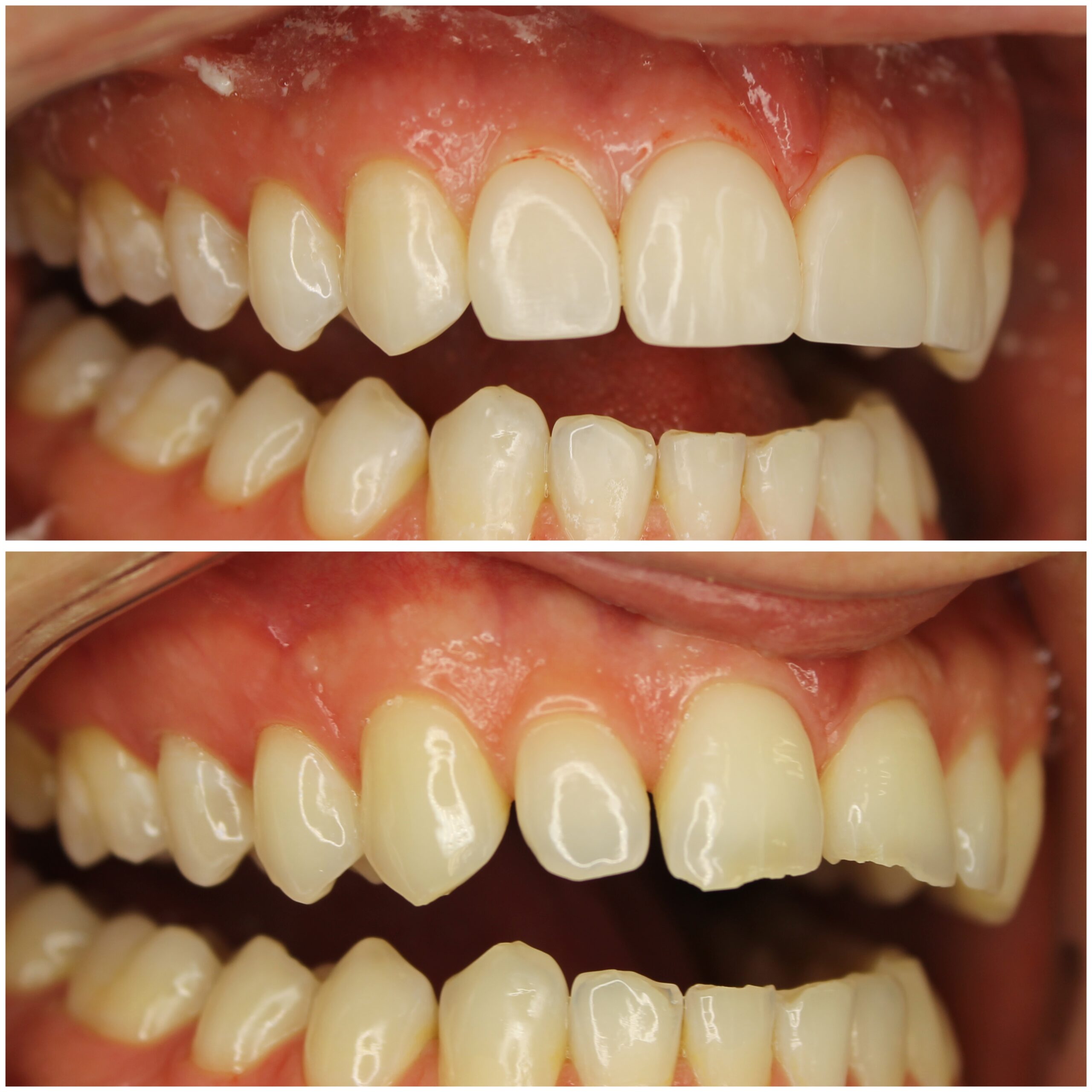
Bonding położony na zęby krzywo ustawione w zgryzie zęby ma tendencje do odskakiwania w wyniku naprężeń.
Dr Sajnok w takich przypadkach nie przeprowadza tej procedury, wcześniej bowiem musi być przeprowadzone leczenie ortodontyczne .
Metoda ta sprawdzi się, jeśli zęby są lekko zakrzywione w sposób nie powodujący naprężeń.
Bonding jest nieinwazyjny, a co za tym idzie koryguje tylko drobniejsze niedoskonałości uśmiechu.
Sprawdzi się przy przebarwieniach czy nierównościach, ale pod warunkiem prawidłowego zgryzu.
Największe korzyści z bondingu to piękny uśmiech już po jednej wizycie, gdy pacjent wychodzi od dentysty z nowym, lśniącym szkliwem w wybielonym kolorze.
Bonding nie wymaga szlifowania i opracowania zęba w przeciwieństwie do licówek, czy koron zębowych. i jest od nich 3 razy tańczy (1 licówka porcelanowa kosztuje 2600 złotych, a 1 ząb poddany bondingowi kompozytowemu kosztuje 800 złotych).
Jest mało inwazyjny i wykonywany bez udziału laboratorium protetycznego, ale stosuje się go przy mniej zniszczonych zębach.
Oferuje spektakularne efekty, które bez obawy można odwrócić bądź poprawić - bez stresu, że zniszczyło się szkliwo.
Bonding zębów jest dla każdego kto posiada stosunkowo niewielkie nieprawidłowości uśmiechu i marzy o mało inwazyjnej, ale efektownej metamorfozie przedniego odcinka zębów.
To idealna metoda drobnej korekcji zębów, o stosunkowo niskim nakładzie kosztów oraz czasu wykonania.
Bonding jest dla osób, które chcą zmian w uśmiechu ale z możliwością ich bezstresowego odwrócenia.
Zabieg bondingu jest mniej bolesny od wypełnienia i nie wymaga ingerencji w strukturę zęba, co czyni go mniej inwazyjnym niż inne procedury estetyczne, takie jak licówki.
Niestety, bonding nie rozwiąże problemów z wadami zgryzu.
Tylko leczenie ortodontyczne może rozwiązać takie problemy, a może być zastosowany po ich wyeliminowaniu, inaczej materiał kompozytowy będzie się ukruszał w wyniku naprężeń.
Bonding nie leczy wad zgryzu - może jedynie zakamuflować te drobniejsze bądź opóźnić proces ścierania szkliwa przez Pacjentów z bruksizem.
Bonding wzmacnia zęby jednolitą gładką warstwą wypolerowanego szkliwa, ale jest to zabieg głównie estetyczny i w żaden sposób nie wyleczy ani nie skoryguje wady zgryzu.
W tym przypadku dr Sajnok proponuje najpierw założyć aparat ortodontyczny, a po wyeliminowaniu wady zgryzu wykonuje rekonstrukcję uśmiechu bondingiem.



Przeprowadzenie procedury: lek. dent. Małgorzata Sajnok
Prawidłowo wykonany bonding kompozytowy oraz przestrzeganie zaleceń lekarza sprawi, że Pacjent będzie cieszył się pięknym uśmiechem od 3 do 8 lat po zabiegu, w zależności od diety i nawyków.
Po około 5 latach kompozyt tworzący licówkę na powierzchni zęba należy wymienić na nowy lub uzupełnić, a następnie wypolerować.
Ponieważ bonding kompozytowy jest nieinwazyjny można go powtarzać i przeprojektować swój uśmiech na nowo.
Licówki porcelanowe będą nam służyć przez 10 - 15 lat, ale są ponad 3 razy droższe i jako bardziej inwazyjne stosowane przez de Małgorzatę Sajnok przy zębach wymagających większej korekty.
Bonding biomimetyczny to zaawansowana technika stomatologii estetycznej, polegająca na nieinwazyjnej odbudowie i modelowaniu zębów za pomocą specjalnej żywicy kompozytowej, która naśladuje naturalne tkanki zęba (szkliwo, zębinę) pod względem kształtu, koloru, przezierności i faktury, zapewniając bardzo naturalny wygląd i minimalną ingerencję w strukturę zęba, co pozwala na szybką korektę ukruszeń, przebarwień czy diastem.
Bonding zębów jest mniej bezbolesny i inwazyjny od zakładania wypełnienia stomatologicznego,
Szkliwo w podczas tego zabiegu jest jedynie lekko matowione, , dlatego jest stosowany jedynie do delikatniejszych korekt uśmiechu.
Pomimo, że samo nakładanie kompozytu nie ingeruje w naturalną strukturę zęba, używane podczas zabiegu nici retrakcyjne czy kliny międzyzębowe mogą sprawić Pacjentowi dyskomfort – wtedy lekarz może sięgnąć po znieczulenie.
Bonding to nieinwazyjna metoda estetycznej rekonstrukcji uśmiechu, której trwałość jest obliczona na okres od 3 do 8 lat.
W praktyce bonding kompozytowy jest traktowany jako zabieg, który odświeża się co około 5 lat.
Uzupełnienie, odświeżenie i zapolerowanie bondingu odbywają się w gabinecie stomatologicznym bez udziału laboratorium protetycznego.
Są więc stosunkowo niekłopotliwe i bywają wspaniałą okazją do realizowania kolejnych koncepcji uśmiechu.
Ogromny wpływ na trwałość bondingu mają dieta i nawyki Pacjenta oraz jego sytuacja ortodontyczna:
Po osiągnięciu wymarzonego uśmiechu należy pamiętać o prawidłowej higienie jamy ustnej oraz o przestrzeganiu harmonogramu wizyt kontrolnych - ma to ogromny wpływ na trwałość bondingu.
Licówki wypalane jako spiek porcelany w laboratorium są trwalszym rozwiązaniem niż bonding, ale kosztują więcej i są stosowane do korekt uśmiechu wymagających zniesienia szkliwa z powodu poważniejszych uszkodzeń zębów.



Przeprowadzenie procedury: lek. dent. Małgorzata Sajnok
Bonding zębów to bezpieczny i co najważniejsze odwracalny proces – warstwa kompozytu jest bowiem nakładana bez szlifowania (preparacji) powierzchni zęba.
Stosowany jest kiedy uśmiech Pacjenta wymaga drobniejszych korekt - można go usunąć i wrócić do stanu sprzed zabiegu, co czyni go jedną z najbezpieczniejszych procedur poprawiających estetykę przedniego odcinka uśmiechu.
Zabieg bondingu odbywa się na jednej wizycie zabiegowej, jest bezpieczny i komfortowy, a prezentuje efekt podobny do licówek porcelanowych wypalanych w laboratorium protetycznym.
Konsultacja - dr Małgorzata Sajnok ocenia, na których zębach może być zastosowany bonding.
Omawiana jest sytuacja zdrowotna Pacjenta, sposób realizacji jego marzeń o nowym uśmiechu oraz ewentualne zastosowanie wybielania w celu rozjaśnienia zębów nie objętych procedurą.
Warto na tym spotkaniu pokazać zdjęcia aktorów czy celebrytów, których uśmiechy Państwu się spodobały - ułatwi to ustalenie kierunku, w którym ma zmierzać metamorfoza.
Wizyta zabiegowa w przypadku bondingu kompozytowego ma następujący przebieg:
Finansowanie ratalne bondingu na krzywe zęby przewodnik
W przypadku chęci finansowania bondingu na krzywe zęby zachęcamy do skorzystania ze współpracującej z nami firmy Mediraty, która bez zbędnych formalności zapłaci za Państwa leczenie, w przypadku krótszych pożyczek nie doliczając oprocentowania.
Oczywiście możecie Państwo skorzystać z dowolnego rozwiązania w firmach pożyczkowych lub u siebie w banku – oprocentowanie kredytów na usługi medyczne jest zwykle bardzo mało oprocentowane bądź zerowe, ponieważ bank ma podwyższone gwarancje zrealizowanej wizyty, a rzecz, którą kupujemy na raty, to inwestowanie w siebie.

Konsultacja merytoryczna lek. dent. Małgorzata Sajnok
W założonym przez siebie gabinecie Dental Care 32 dba o to by interdyscyplinarne plany leczenia obejmujące ortodoncję, endodoncję i implanty kończyły się sukcesem, czyli efektowną metamorfozą uśmiechu przy zachowaniu funkcji uzębienia.
W zakresie jej zainteresowań znajdują się estetyczne rekonstrukcje zębów przednich poprzez zastosowanie:
- licówek kompozytowych (bonding biomimetyczny)
- licówek porcelanowych
- koron protetycznych.
- inlay/onlay/overlay
- konturingu/rekonturingu zębów
- endodoncji mikroskopowej