
Szukasz doświadczonego ortodonty w Warszawie? DentalCare32 to gabinet ortodontyczny na Saskiej Kępie, gdzie otrzymasz kompleksową opiekę i nowoczesne leczenie ortodontyczne dla dzieci, młodzieży oraz dorosłych.
Podczas każdego etapu leczenia ortodontycznego niezwykle ważna jest dobra relacja na linii lekarz-pacjent, a wspólny cel, jakim jest uzyskanie jak najefektywniejszego leczenia w możliwie jak najszybszym czasie, powinien być do tego najlepszym motywatorem.
Lekarz słucha pacjenta, analizuje jego oczekiwania (rodzaj aparatu, czas leczenia, pożądane efekty) i opracowuje odpowiedni plan leczenia, który poprawi estetykę i polepszy zdrowie zębów.
Pacjent natomiast, stosując się do zaleceń lekarza, umożliwia mu pokierowanie leczeniem tak, by efekty mogły być osiągnięte w założonym wcześniej terminie.
Leczenie ortodontyczne jest procesem długotrwałym i złożonym - może wymagać włączenia do współpracy lekarza protetyka (przebudowa zwarcia) czy chirurga (usunięcie ósemek, wstawienie mikroimplantów ortodontycznych), a zęby, na których nastąpi montaż aparatu powinny być absolutnie pozbawione próchnicy i osadu nazębnego.
Lekarze zajmujący się protetyką, chirurgią, czy stomatologią zachowawczą tworzą u nas w gabinecie, wraz z lekarzem prowadzącym - ortodontą, zgrany zespół - dołączając, musicie Państwo sobie zdawać sprawę, jak ważni w nim jesteście.
Nasz gabinet znajduje się na Saskiej Kępie w dzielnicy Praga Południe. Dzięki dogodnej lokalizacji łatwo do nas dotrzeć z każdej części Warszawy. Oferujemy indywidualne podejście, nowoczesne metody leczenia oraz zespół doświadczonych ortodontów. Jeśli interesuje Cię ortodonta w Warszawie na Saskiej Kępie – jesteś w dobrym miejscu!
W gabinecie Dental Care 32 stosujemy systemy następujących producentów:

Aparat metalowy:
2 400 zł za 1 łuk zębowy, 4 800 zł za 2 łuki, czyli cały aparat. Całkowity koszt leczenia około 14 300 zł. Ze względu na kolorowe ligatury preferowany przez młodzież (kolory wybierane na każdej wizycie kontrolnej).
Wizyty przy tego typu aparacie są co 4-6tyg.

Przezroczyste, niewidoczne i wyjmowane nakładki Invisalign®:
Całkowity koszt leczenia około 22 000 zł zapewnia komfort i możliwość zdejmowania nakładek na 2 h dziennie. Dodatkowo czas leczenia jest zwykle krótszy o rok w porównaniu do klasycznych aparatów stałych, a wizyty kontrolne odbywają się co 10 tygodni.

Aparat stały samoligaturujący w systemie H4®:
3 600 zł za 1 łuk, 7 200 zł za 2 aparat. Całkowity koszt leczenia około 14 300 zł.
Ma nieco mniejsze zamki od klasycznego i nie zakłada się do niego ligatur, ponieważ łuk utrzymywany jest przez klapy wbudowane w zamek.
Wizyty kontrolne odbywają się co ok. 8 tyg.

Aparat stały estetyczny 3M™ Clarity™:
3 700 zł za łuk, 7 400 za aparat. Całkowity koszt leczenia około 18 000 zł.
Posiada przezroczyste zamki wykonane z wysokiej jakości porcelany, która zgrywa się z kolorem zęba i jest mało widoczna w buzi.
Białe lub przezroczyste pozwalają na wysoką estetykę aparatu, a wizyty kontrolne zalecane są co 4-6tyg.

Aparat stały w systemie Damon Q™.
3 900 zł za łuk, 7 800 za aparat. Całkowity koszt leczenia około 18 000 zł
Samoligaturujący, które ma wbudowane klapy trzymające łuk.

Aparat stały estetyczny w systemie Damon Clear™.
6 000zł za łuk, 12 000 za aparat. Całkowity koszt leczenia około 20 000 zł.
Samoligaturujący, z klapami trzymające łuk, estetyczny.
Postępowanie ortodontyczne może hamować lub nasilać procesy, podczas których równolegle przemieszczają się całe kości, szwy kostne i chrząstki. Dlatego częścią sukcesu jest już sam wybór właściwego czasu rozpoczęcia leczenia. Najlepiej, gdy przypada on na okres wymiany uzębienia, z czym wiąże się konieczność zmiany kierunku wzrostu na optymalny oraz poszerzanie podstaw kostnych wyrostka zębodołowego.
Po zakończeniu okresu wzrostu leczenie ortodontyczne ma na celu estetyczną korektę łuków zębowych z ewentualnym dodatkowym zastosowaniem leczenia interdyscyplinarnego, gdzie łączy się zabiegi ortodontyczne z chirurgicznymi lub protetycznymi.
Przy leczeniu ortodontycznym mogą występować różnice w kierunku wzrostu szczęki i żuchwy, co ma wpływ na zmiany w postępowaniu i w decyzji o sposobie leczenia. Dlatego leczenie zaburzeń szkieletowych jest leczeniem wieloetapowym i wymaga ciągłych zmian w kształcie aparatów (wizyty korekcyjne, co 4-6 tyg., naprawy, zwiększanie grubości, zmiana elementów nośnych lub zmiana aparatów). Cały proces wymaga dobrej współpracy pacjenta z lekarzem i stosowanie się do jego zaleceń, tj. noszenie aparatów, wyciągów (gumek).
W celu skrócenia czasu leczenia aparatami stałymi, w przypadku bardzo nasilonych wad podstaw kostnych, mogą być zastosowane dodatkowo: mini-śruby ortodontyczne, aparaty zewnątrzustne i aparaty czynnościowe (ruchome) i zabiegi chirurgiczne.
Terapia ortodontyczna wpływa na ustawienie całego łuku zębowego, a nie na pojedynczy ząb i jego zębodół, dlatego leczenie musi dotyczyć zarówno szczęki dolnej jak i górnej.
Raczej nie. Przejściowe trudności występują na początku noszenia aparatów wyjmowanych lub stałych, Objawy to m.in. wzmożone wydzielanie śliny, zmiany odczucia smaku, zaburzenia wymowy, rzadziej odruch wymiotny, odleżyny błony śluzowej, ból zębów przy nagryzaniu. Wszystko zależy od indywidualnych skłonności organizmu, stanu zdrowia i nastawienia psychicznego.
Leczenie ortodontyczne, jak każdy zabieg medyczny, może wiązać się z pewnymi powikłaniami – omówimy je z Tobą podczas konsultacji.
Po zakończonym leczeniu pacjent musi nosić tzw. retejner. Jest to system aparatów utrzymujący efekt leczenia. Istnieje wiele rodzajów retejnerów – wyjmowane, przezroczyste, przyklejane itd. Okres stosowania ustalany jest w każdym wypadku indywidualnie. Na przykład osoby nastoletnie powinny nosić aparaty retencyjne do chwili, kiedy wyrosną trzecie zęby trzonowe (ósemki lub tzw. zęby mądrości). Pozwala to uniknąć możliwego nawrotu wady.

Pierwsza wizyta ma na celu zdiagnozowanie wady zgryzu u pacjenta i ustalenie planu leczenia (dobór aparatu, czas leczenia).
Lekarz bada stan uzębienia, określa wadę zgryzu oraz zaleca ewentualne leczenie dentystyczne – bardzo istotne jest, by przed rozpoczęciem leczenia ortodontycznego wszystkie zęby pacjenta były zdrowe.
Po dostarczeniu przez pacjenta zdjęć rentgenowskich, lekarz wykonuje wyciski lub skany 3D potrzebne do wykonania gipsowych modeli jamy ustnej, niezbędnych do pomiarów i analiz służących planowaniu leczenia
Zakładanie aparatu stałego jest zabiegiem zupełnie bezbolesnym, trwającym około godziny.
Zamki i pierścienie przymocowywane są do zębów za pomocą specjalnego, nieszkodliwego kleju.
Bardzo ważne jest, by aparat został przyklejony w odpowiedni sposób, stanowi to bowiem w ogromnym stopniu o wynikach i czasie leczenia.
Wizyty kontrolne odbywają się co 4-6 tygodni i są niezbędne dla prawidłowego przebiegu leczenia. Podczas noszenia aparatu szczególnie ważna jest codzienna higiena jamy ustnej.
Finalizacją udanego leczenia jest demontaż aparatu ortodontycznego-
za pomocą specjalnych kleszczy lekarz odkleja zamki i pierścienie od zębów, trwa to od kilku do kilkunastu minut. Następną czynnością jest oczyszczenie zębów z resztek klejów i ewentualnych osadów powstałych w czasie leczenia.
Okres retencyjny. Po aktywnej fazie leczenia, następuje druga, równie ważna: faza leczenia retencyjnego. Leczenie retencyjne odbywa się przy pomocy aparatów retencyjnych. Bardzo ważne jest, by pacjent stosował się do zaleceń lekarza i nie zaniechał tego, ostatniego już etapu na drodze do prostych zębów. Nieregularne noszenie aparatów retencyjnych może bowiem doprowadzić do cofnięcia efektów leczenia.
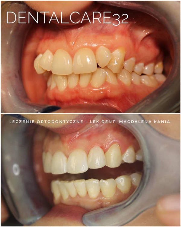
Leczenie ortodontyczne, efekty przed i po:

Zapraszamy do zapoznania się z najczęstszymi pytaniami, jakie zadają nasi Pacjenci jeszcze przed rozpoczęciem leczenia ortodontycznego, oraz z etapami wizyt ortodontycznych w naszym gabinecie.
Osobny dział poświęciliśmy dzieciom i pięknym, kolorowym aparatom ruchomym, które możemy wykonać wedle życzenia najmłodszych Pacjentów!

Po pojawieniu się pierwszych zębów stałych – trzonowców – powinna odbyć się konsultacja, podczas której można wstępnie określić czy dziecko potrzebuje leczenia ortodontycznego.
Skuteczną i wydajną metodą wczesnego leczenia ortodontycznego są aparaty wyjmowane – jedno i dwuszczękowe, przeznaczone do leczenia rozmaitych przypadków wad zgryzu – zarówno przy stałym, jak i mieszanym uzębieniu.
Czas leczenia aparatem wyjmowanym trwa około 2 lat, a jego dodatkowym atutem jest fakt, że uruchamia on i harmonizuje pracę mięśni żuchwy.
Uwaga!
Przy wadach bardziej skomplikowanych wymagane jest rozpoczęcie leczenia aparatem wyjmowanym i jego kontynuacja poprzez założenie aparatu stałego lub zastosowanie specjalnej płytki.
Każde dziecko traktowane jest indywidualnie – z pełnym zrozumieniem, empatią i cierpliwością. Dbamy o to, by pierwsze doświadczenia z ortodontą były pozytywne i motywujące. Nasz ortodonta zapewnia małym pacjentom komfort i bezpieczeństwo podczas każdej wizyty.
Leczenie ortodontyczne u dzieci to coś znacznie więcej niż tylko kwestia estetyki. Wczesna diagnoza i odpowiednia terapia mogą zapobiec wielu poważniejszym problemom zdrowotnym w przyszłości – od wad zgryzu, przez nieprawidłowości w mowie, aż po zaburzenia oddychania. Ortodoncja dziecięca obejmuje zarówno wczesne leczenie interceptywne (zwykle między 6. a 9. rokiem życia), jak i leczenie właściwe, prowadzone po wyrżnięciu zębów stałych.
W DentalCare32 diagnozujemy i prowadzimy leczenie dzieci z wykorzystaniem:
Każde dziecko traktowane jest indywidualnie – z pełnym zrozumieniem, empatią i cierpliwością. Dbamy o to, by pierwsze doświadczenia z ortodontą były pozytywne i motywujące.
Ortodonta dziecięcy to specjalista zajmujący się diagnozowaniem i leczeniem problemów z zębami i szczęką u dzieci. Używa aparatów ortodontycznych i innych urządzeń do korygowania nieprawidłowości zębowych i twarzowych współpracując
Najczęstszym problemem leczonym przez ortodontów dziecięcych jest wada zgryzu, czyli nieprawidłowe ustawienie zębów. Wady zgryzu mogą być spowodowane wieloma czynnikami, takimi jak ssanie kciuka, wczesna lub późna utrata zębów mlecznych oraz stłoczenie zębów.
Ortodonci dziecięcy stosują różne metody leczenia w celu skorygowania wady zgryzu, w zależności od stopnia zaawansowania problemu i wieku pacjenta. W niektórych przypadkach do wyrównania zębów może być konieczne założenie aparatu ortodontycznego, w innych można zastosować aparaty ruchome, takie jak płytka Schwarza lub maski twarzowe.
Szukasz profesjonalnego ortodonty dziecięcego w Warszawie?
Sprawdź ofertę DENTAL CARE 32! Od lat zajmujemy się między innymi profesjonalnym łączeniem licówek porcelanowych, koron pełnoceramicznych i implantów z leczeniem zachowawczym, endodoncją pod mikroskopem i leczeniem ortodontycznym, w tym leczeniem ortodontycznym dzieci.
Invisalign jest nowoczesnym systemem leczenia nakładkowego, który ma na celu leczenie wad zgryzu u pacjentów ortodontycznych. Materiał, z którego są wykonywane te nakładki jest wysoce elastyczny – to opatentowane tworzywo termoplastyczne o nazwie smarttrack stworzone specjalnie na potrzeby takiego leczenia. Leczenie tym systemem to proces noszenia zdejmowanych, przezroczystych, nakładek o różnej grubości i elastyczności, które stopniowo prostują zęby. Bez zamków, mocowań, drutów, czy innych elementów wystających z jamy ustnej. Leczenie Invisalign prowadzimy w naszym gabinecie na Saskiej Kępie w Warszawie – zapraszamy dorosłych i młodzież, którym zależy na dyskrecji i komforcie.
Metoda Invisalign działa poprzez wywieranie kontrolowanego nacisku na poszczególne zęby przez odpowiednią ilość czasu, co powoduje ich stopniowe przesuwanie oraz przemieszczanie w zgryzie. Na poszczególne zęby mocowane są przezroczyste zaczepy, które mają na celu wsparcie procesu leczenia i pomoc w przesuwaniu się zębów po zakończonym leczeniu. Zaczepy oczywiście są później usuwane przez ortodontę – całkowicie bezboleśnie.
Nowoczesna ortodoncja to połączenie wiedzy medycznej, estetyki oraz zaawansowanej technologii.
Dzięki innowacyjnym rozwiązaniom leczenie jest dziś skuteczniejsze, krótsze i bardziej komfortowe – zarówno dla dzieci, jak i dorosłych. W DentalCare32 wykorzystujemy m.in.:
Te rozwiązania skracają czas leczenia, zmniejszają liczbę wizyt kontrolnych i sprawiają, że noszenie aparatu przestaje być powodem do kompleksów. Nasze leczenie ortodontyczne łączy efektywność z komfortem – tak, jak tego oczekują nowocześni pacjenci.
Finansowanie ratalne leczenia ortodontycznego
W przypadku chęci finansowania leczenia ortodontycznego zachęcamy do skorzystania ze współpracującej z nami firmy Mediraty, która bez zbędnych formalności zapłaci za Państwa leczenie, w przypadku krótszych pożyczek nie doliczając oprocentowania.
Oczywiście możecie Państwo skorzystać z dowolnego rozwiązania w firmach pożyczkowych lub u siebie w banku – oprocentowanie kredytów na usługi medyczne jest zwykle bardzo mało oprocentowane bądź zerowe, ponieważ bank ma podwyższone gwarancje zrealizowanej wizyty, a rzecz, którą kupujemy na raty, to inwestowanie w siebie.
Gabinet DentalCare32 znajduje się na Saskiej Kępie, w sercu Pragi Południe. Bez problemu dojedziesz do nas komunikacją miejską lub samochodem. Zapraszamy pacjentów z całej Warszawy – Saska Kępa to miejsce, gdzie skutecznie zadbasz o zdrowy i piękny uśmiech.