
Szukasz doświadczonego protetyka w Warszawie? W DentalCare32 oferujemy kompleksowe leczenie protetyczne w centrum miasta – łatwy dojazd z Mokotowa, Śródmieścia i Wilanowa. Nasz gabinet specjalizuje się w rekonstrukcji zgryzu, odbudowie zębów i nowoczesnych rozwiązaniach takich jak protetyka cyfrowa i estetyczna.W gabinecie DentalCare32 protetyka stomatologiczna Warszawa to połączenie doświadczenia, technologii cyfrowej i indywidualnego podejścia. Oferujemy kompleksowe usługi z zakresu protetyki cyfrowej i estetycznej – od precyzyjnej diagnostyki i skanowania 3D, przez plan leczenia, aż po wykonanie trwałych i pięknych uzupełnień.
Naszym celem jest przywrócenie pełnej funkcji i estetyki uśmiechu każdemu pacjentowi z Warszawy i okolic.



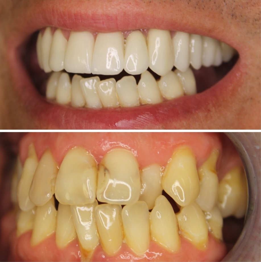
Przeprowadzenie rekonstrukcji uśmiechu lek. dent. Małgorzata Sajnok
W DentalCare32 korzystamy z najnowocześniejszych technologii, takich jak cyfrowe skanowanie 3D i wydruki modeli, zapewniając precyzję oraz komfort leczenia. Nasz zespół to doświadczeni protetycy z Warszawy, którzy indywidualnie planują każdy etap leczenia – od konsultacji, przez planowanie, aż po finalne oddanie pracy protetycznej. Stawiamy na estetykę, trwałość i pełne zadowolenie pacjenta.
Licówki porcelanowe, pełnoceramiczne korony protetyczne (również te oparte na implantach) łączy użycie najlepszych dostępnych technologii, co skutkuje podwyższonym efektem estetycznym.
Przykładamy również ogromną uwagę do współpracy oraz indywidualnego planowania pracy z pacjentem, podczas którego dobieramy kolor i kształt uzupełnień uwzględniając Państwa oczekiwania, a wydrukowane modele 3D pozwalają nam na wizualizację większych prac.
Warto podkreślić, że opisane powyżej licówki i korony protetyczne (EMAX / LAVA 3M) łączymy z powodzeniem z endodoncją mikroskopową i wybielaniem gwiazd Philips ZOOM!, które pozwala na skuteczne rozjaśnienie zębów własnych pacjenta!
Wykonujemy również licówki kompozytowe (bonding flow injection), non-prep oraz konturing zębów.
DentalCare32 to doświadczenie, precyzja i wielu zadowolonych pacjentów – zapraszamy na nasze profile Facebook oraz Instagram, gdzie zamieszczamy nasze przykładowe prace.
Państwa nowy uśmiech może się prezentować równie atrakcyjnie!
Protetyka cyfrowa w Warszawie to połączenie wiedzy i technologii.
W DentalCare32 korzystamy z cyfrowego projektowania uśmiechu (Digital Smile Design), skanerów wewnątrzustnych i wysokiej jakości materiałów (ceramika EMAX, LAVA 3M, włókna szklane).
Dzięki temu nasze korony, mosty i licówki są nie tylko trwałe, ale też doskonale odwzorowują naturalny wygląd zębów.
Zaufaj specjalistom od protetyki w Warszawie, którzy łączą precyzję z estetyką i troską o Twój komfort.
Protetyka w Warszawie jest rozwiązaniem dla osób z pojedynczymi brakami zębowymi, rozległymi ubytkami, a także dla pacjentów z całkowitym bezzębiem. Niezależnie od wieku czy stopnia uszkodzenia zębów, w DentalCare32 znajdziemy skuteczne i komfortowe rozwiązanie dopasowane do Twoich potrzeb. Zapraszamy zarówno osoby po urazach, jak i pacjentów, którzy chcą poprawić estetykę lub funkcję swojego uśmiechu.
Leczenie protetyczne w DentalCare32 – protetyka Warszawa krok po kroku – rozpoczyna się od szczegółowej konsultacji i diagnostyki cyfrowej. Wspólnie omawiamy oczekiwania oraz możliwości leczenia, wykonujemy cyfrowe skany i przygotowujemy indywidualny plan. Następnie realizujemy poszczególne etapy – od przygotowania zębów, przez przymiarki, aż po ostateczne oddanie pracy protetycznej. Dbamy o pełną informację i komfort na każdym etapie leczenia. W DentalCare32 protetyka obejmuje szeroki wachlarz rozwiązań, dzięki czemu każdy pacjent może liczyć na indywidualnie dobraną metodę odbudowy uśmiechu. Oferujemy zarówno nowoczesne, jak i sprawdzone klasyczne uzupełnienia protetyczne, zawsze dbając o najwyższy komfort i estetykę.
Nowoczesna protetyka stomatologiczna to nie tylko estetyczna odbudowa zębów, ale także realna poprawa jakości życia. Decydując się na leczenie protetyczne w DentalCare32, zyskujesz:
W zależności od rodzaju ubytku i indywidualnych potrzeb pacjenta, protetyka oferuje kilka skutecznych rozwiązań. Każde z nich ma swoje unikalne cechy, dzięki którym możliwa jest odbudowa zębów w sposób trwały, estetyczny i komfortowy.
Protetyka w DentalCare32 to także trwałe i estetyczne korony, które pozwalają odbudować ząb w sposób niemal nieodróżnialny od naturalnego.
Kiedy stosować: przy dużym zniszczeniu pojedynczego zęba, po leczeniu kanałowym lub przy przebarwieniach.
Zalety:
Mosty protetyczne w ramach protetyki są doskonałym wyborem przy brakach jednego lub kilku zębów, zapewniając pełny komfort i estetykę.
Kiedy stosować: przy braku jednego lub kilku zębów, z zębami sąsiednimi jako filarami.
Zalety:
Nowoczesna protetyka Warszawa to także protezy szkieletowe, które gwarantują stabilność i wygodę użytkowania nawet przy rozległych brakach zębowych.
Kiedy stosować: przy większych brakach zębowych, gdy zęby filarowe są zachowane.
Zalety:
Kiedy stosować: przy częściowych brakach zębowych w sytuacjach, gdy nie można zastosować mostu lub implantu.
Zalety:
Kiedy stosować: przy całkowitym bezzębiu, gdy nie można wszczepić implantów.
Zalety:
Kiedy stosować: przy bardzo dużych brakach zębowych lub całkowitym bezzębiu, często z zastosowaniem implantów.
Zalety:
Protetyka stomatologiczna Warszawa w DentalCare32 obejmuje również nowoczesne wkłady i nakłady koronowe, będące alternatywą dla tradycyjnych plomb.
Wkłady i nakłady koronowe to nowoczesna alternatywa dla tradycyjnych plomb, szczególnie polecana w przypadku mocno zniszczonych zębów bocznych. Dzięki wysokiej trwałości i precyzyjnemu dopasowaniu doskonale odtwarzają naturalny kształt, kolor i funkcję zęba. Zapewniają komfort, estetykę i ochronę przed dalszym uszkodzeniem – pomagając zachować własne zęby na dłużej.
W ramach protetyki Warszawa oferujemy solidne i trwałe wkłady koronowo-korzeniowe, które skutecznie wzmacniają ząb po leczeniu kanałowym.
Wkład koronowo-korzeniowy to rozwiązanie stosowane w celu odbudowy i wzmocnienia mocno uszkodzonego zęba, najczęściej po leczeniu kanałowym. Stanowi on solidną podstawę pod koronę protetyczną, przenosząc siły żucia w sposób bezpieczny i naturalny. Dzięki temu ząb odzyskuje trwałość, funkcję i może służyć przez wiele lat – bez potrzeby usuwania.
Wykonanie protezy całkowitej to proces wymagający kilku wizyt, podczas których krok po kroku przygotowujemy idealnie dopasowane uzupełnienie protetyczne. Cały proces zwykle obejmuje od 4 do 6 spotkań i składa się z następujących etapów:
Po zakończeniu leczenia protetycznego w DentalCare32 w Warszawie zalecamy regularne wizyty kontrolne oraz higienizacyjne, aby utrzymać zdrowie jamy ustnej i trwałość uzupełnień. Otrzymasz od nas szczegółowe instrukcje dotyczące pielęgnacji protez, koron czy mostów.
Konsultacja merytoryczna lek. dent. Małgorzata Sajnok

W założonym przez siebie gabinecie Dental Care 32 dba o to by interdyscyplinarne plany leczenia obejmujące ortodoncję, endodoncję i implanty kończyły się sukcesem, czyli efektowną metamorfozą uśmiechu przy zachowaniu funkcji uzębienia.
W zakresie jej zainteresowań znajdują się estetyczne rekonstrukcje zębów przednich poprzez zastosowanie:
- licówek kompozytowych (bonding biomimetyczny)
- licówek porcelanowych
- koron protetycznych.
- inlay/onlay/overlay
- konturingu/rekonturingu zębów
- endodoncji mikroskopowej
Nie odkładaj leczenia – wybierz nowoczesną protetykę Warszawa w DentalCare32.
Umów się na konsultację i przekonaj się, jak szybko możemy przywrócić Twój uśmiech.
Zadzwoń lub zapisz się online – nasz gabinet protetyczny w Warszawie czeka na Ciebie!
Bibliografia:
1. https://www.researchgate.net/publication/223963675_Avoiding_and_managing_the_failure_of_conventional_crowns_and_bridges
2. https://www.mdpi.com/2077-0383/13/5/1225